
Tẩy trắng răng là một trong những phương pháp nha khoa giúp cải thiện tình trạng răng xỉn màu. Thông qua đó giúp đem lại cho bạn

Một hàm răng trắng sáng sẽ giúp bạn nở nụ cười tự tin rạng ngời khi giao tiếp. Tuy nhiên, theo thời gian, việc ăn uống hàng
Việc mất răng là điều không ai muốn mình gặp phải bất kì lúc nào. Người mắc phải thường tự ti về thẩm mỹ, thậm chi suy

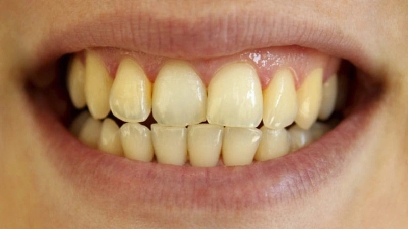
Răng bị mảng bám vàng là một trong những vấn đề răng miệng nhiều người mắc phải hiện nay. Đặc biệt, tình trạng này không chỉ xảy

Cạo vôi răng là một trong những thủ thuật nha khoa phổ biến và đơn giản nhất hiện nay. Tuy nhiên, đây là phương pháp có ý

Niềng răng là một phương pháp chỉnh nha đem lại hiệu quả cao sau khi thục hiện. Tuy nhiên, phương pháp này để thành công cần có