
Khi nhắc đến niềng răng thì nhiều người sẽ nghĩ đến phương pháp chỉnh nha hiệu quả nhất. Đây là phương pháp đặc biệt sẽ đưa hàm

Khi nhắc đến trà sữa thì nhiều người sẽ nghĩ đến thức uống được ưa thích hiện nay. Tuy nhiên, khi uống nhiều trà sữa, đường bên

Hiện nay, niềng răng là một trong những phương pháp giúp đem lại hàm răng đều và đẹp. Phương pháp này sẽ dịch chuyển răng về đúng

Khi nhắc đến niềng răng thì nhiều người sẽ nghĩ đến phương pháp chỉnh nha tốt nhất. Thông qua đó giúp đem lại hàm răng đẹp và

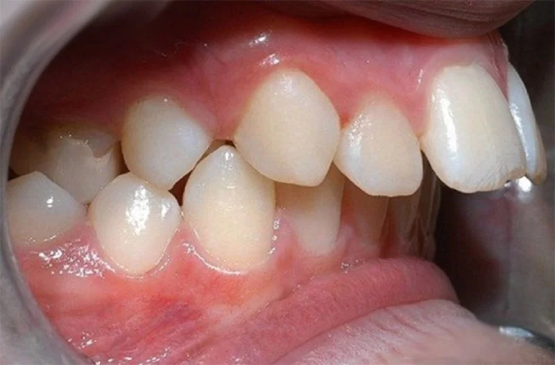
Hô hàm trên là một trong những khuyết điểm khiến bạn mất tự tin khi giao tiếp. Thậm chí hiện tượng này còn có thể gây ra

Hô hàm là hiện tượng nhiều người bị khi bẩm sinh hoặc phát sinh dấu hiệu sau này. Khi mắc phải, cấu trúc khuôn mặt sẽ trở