Răng hô là hiện tượng nhiều người gặp phải và ảnh hưởng đến thẩm mỹ, sinh hoạt. Chính vì thế, các phương pháp phục hình răng đang là giải pháp hiệu quả để khắc phục răng hô. Trong số đó, phương pháp bọc răng sứ cũng đang là phương án được nhiều người lựa chọn. Tuy nhiên, nhiều người vẫn băn khoăn về hiệu quả phương pháp này khi so với niềng răng. Vậy thực tế bọc răng sứ có hết hô không? Hãy cùng Nha khoa DrGreen giải đáp chi tiết trong bài viết này. Cùng với đó là các lời khuyên cụ thể
Bọc răng sứ có hết hô không?
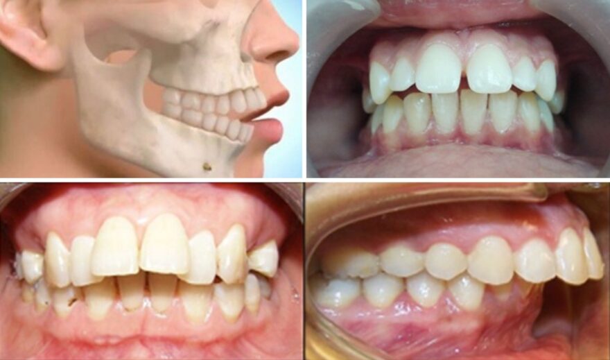
Răng hô, hay còn gọi là tình trạng sai lệch khớp cắn loại II trong tiêu chuẩn nha khoa. Đây là một trong những dạng lệch lạc răng phổ biến, chiếm khoảng 20–30% dân số. Biểu hiện đặc trưng của răng hô là cung hàm trên phát triển vượt trội. Điều này khác biệt hẳn về phía trước so với cung hàm dưới. Từ đó gây ra sự mất cân đối trong cấu trúc khuôn mặt.
Tình trạng răng hô không chỉ ảnh hưởng đến yếu tố thẩm mỹ. Thông qua đó làm suy giảm sự hài hòa khuôn mặt. Nó còn tác động tiêu cực đến chức năng ăn nhai và sức khỏe răng miệng tổng thể. Cụ thể, sự lệch lạc khớp cắn tạo điều kiện thuận lợi cho vi khuẩn và mảng bám tích tụ. Từ đó làm tăng nguy cơ sâu răng, viêm nướu, và các bệnh lý nha chu. Khi đó điều nhiều người quan tâm nhất đó là bọc răng sứ có hết hô không khi so với niềng răng
Với răng hô ở mức độ nhẹ đến trung bình, phương pháp bọc răng sứ có thể được áp dụng. Thông qua đó cải thiện hình thể răng và điều chỉnh phần nào khớp cắn. Tuy nhiên, khi bị hô nặng, việc bọc sứ đòi hỏi phải mài mô răng thật với tỷ lệ lớn. Từ đó gây xâm lấn sâu và làm suy yếu cấu trúc răng. Do đó, bác sĩ cần đánh giá kỹ lưỡng để lựa chọn phương pháp điều trị phù hợp. Nó có thể bao gồm niềng răng hoặc phẫu thuật chỉnh hình trong các trường hợp phức tạp.

Lợi ích của bọc răng sứ đối với răng hô
Vừa rồi chúng ta đã biết được bọc răng sứ có hết hô không. Lúc này điều nhiều người quan tâm đó là những lợi ích của bọc răng sứ đối với răng hô. Đây là một trong những giải pháp chỉnh hình răng hiện đại. Cùng với đó là được nhiều khách hàng lựa chọn nhờ độ hiệu quả và thẩm mỹ cao. Phương pháp này không chỉ giúp cải thiện tình trạng răng hô. Nó còn khắc phục đồng thời nhiều vấn đề khác liên quan đến hình dáng và màu sắc răng.
Điều này được thể hiện qua những ưu điểm sau:
- Phương pháp chỉ tác động lên bề mặt răng thật. Không ảnh hưởng đến cấu trúc hàm hoặc khớp cắn
- An toàn, phù hợp với các trường hợp răng hô nhẹ đến trung bình do sai lệch vị trí răng.
- Quá trình mài răng và bọc mão sứ được thực hiện nhẹ nhàng. Sử dụng thuốc gây tê cục bộ nên gần như không gây đau.
- Sau khi hoàn tất, bệnh nhân có thể ăn uống, giao tiếp bình thường. Đồng thời không cần thời gian nghỉ dưỡng dài.
- Quy trình bọc răng sứ thường hoàn thành trong 2–3 lần hẹn. Cùng với đó kéo dài từ 3–5 ngày tùy tình trạng răng.
- Không chỉ cải thiện tình trạng răng hô, phương pháp còn giúp che phủ các khuyết điểm. Ví dụ như răng ố vàng, xỉn màu, răng sâu, răng mẻ nhẹ, răng không đều…
- Sử dụng chất liệu sứ cao cấp như Zirconia hoặc Emax. Có độ cứng chắc, chống mài mòn, và màu sắc tương đồng với răng thật.
- Tuổi thọ của răng sứ có thể lên đến 10–15 năm nếu được chăm sóc và bảo quản tốt.

Các loại răng hô phổ biến nhất hiện nay
Như đã nói khi nói về việc bọc răng sứ có hết hô không thì bọc răng sứ chỉ hết hô khi hiện tượng răng hô chỉ xảy ra ở mức độ nhẹ. Chính vì thế việc nắm rõ các loại răng hô sẽ quyết định đến hiệu quả của bọc răng sứ. Cụ thể các loại hình răng hô phổ biến bao gồm
Răng hô hàm trên (Vẩu hàm trên)
Răng hô hàm trên là tình trạng mà răng hoặc xương hàm trên (hoặc cả hai) phát triển nhô ra quá mức so với hàm dưới. Thông qua đó gây ra sự mất cân đối trong khớp cắn và khuôn mặt. Đây là một dạng sai lệch khớp cắn phổ biến, thường kèm theo các biểu hiện sau:
- Ở trạng thái nghỉ, môi trên có xu hướng trề ra phía trước. Đồng thời khó khép kín hoàn toàn, tạo cảm giác môi dày bất thường.
- Khi nhìn nghiêng, sự nhô ra của môi trên thể hiện rất rõ. Vì thế góc tạo bởi mũi và môi trở nên sắc nét, thiếu tự nhiên.
- Ngay cả với biểu cảm nhẹ, răng hàm trên đã lộ rõ. Theo thời gian ảnh hưởng đến tính thẩm mỹ và sự tự tin trong giao tiếp.
- Răng mọc không đều, có thể chồng chéo. Hoặc tạo khe hở giữa các răng do thiếu chỗ trên cung hàm.
- Khi quan sát từ bên, khuôn mặt có xu hướng nhô ra phía trước. Thiếu sự hài hòa giữa các bộ phận.

Răng hô kèm cằm lẹm
Răng hô cằm lẹm là dạng sai lệch phức tạp. Hiện tượng này xảy ra khi xương hàm trên phát triển quá mức. Cùng với đó xương hàm phía dưới phát triển kém. Cằm bị đẩy lùi sâu vào trong, gây mất cân đối tổng thể gương mặt. Các dấu hiệu thường thấy bao gồm:
- So với hàm dưới, răng hàm trên có sự chênh lệch lớn về vị trí và khớp cắn.
- Đường nét gương mặt khi nhìn nghiêng bị gãy khúc do cằm lẹm. Không tạo được trục thẳng hàng giữa trán – môi – cằm.
- Gương mặt mất cân đối làm ảnh hưởng đến chức năng nhai, phát âm. Đồng thời làm tăng nguy cơ mắc các bệnh lý về khớp thái dương hàm và nha chu

Răng hô làm môi dày
Răng hô có thể khiến môi trở nên dày và nhô rõ. Đặc biệt là khi các răng cửa hàm trên chìa ra quá mức. Dạng răng hô này dễ nhận biết thông qua những đặc điểm sau:
- Do răng nhô ra trước, môi phải bao phủ phần răng quá mức. Từ đó khiến môi bị đẩy căng, tạo cảm giác thô và kém thanh thoát.
- Ngay cả khi nghỉ ngơi, người mắc tình trạng này khó có thể khép miệng tự nhiên. Vì thế dễ gây khô môi và hơi thở miệng.
- Dù nhìn trực diện hay nhìn nghiêng, gương mặt đều mất đi sự cân đối và mềm mại.

Răng hô hở lợi (Cười hở nướu)
Răng hô hở lợi là tình trạng khi cười, phần nướu chân răng lộ ra quá nhiều. Theo thời gian nó sẽ gây mất thẩm mỹ cho nụ cười. Nguyên nhân có thể do vị trí răng, độ dài thân răn. Hoặc sự tăng động của cơ nâng môi trên. Biểu hiện cụ thể gồm:
- Khoảng cách từ viền môi trên đến cổ chân răng vượt quá 3mm. Từ đó hiến phần lợi hiện rõ mỗi khi cười, gây mất tự nhiên.
- Có thể đi kèm các dị tật khác bao gồm môi dày, mũi to. Hoặc kết hợp với răng hô khiến khuôn mặt trở nên mất cân đối nghiêm trọng.
- Người mắc cười hở lợi thường có xu hướng che miệng khi cười. Đồng thời ngại giao tiếp trước đám đông.

Quy trình thực hiện bọc răng sứ cho răng hô
Khi đã biết được bọc răng sứ có hết hô không thì điều bạn cần nắm rõ đó là quy trình thực hiện bọc răng sứ cho răng hô. Hiện nay quy trình thực hiện bọc răng sứ cho răng hô gồm những bước sau:
Thăm khám tổng quát và đánh giá tình trạng răng
Trước khi tiến hành bất kỳ phương pháp điều trị thẩm mỹ nào, bác sĩ chuyên khoa sẽ thực hiện một cuộc khám tổng quát. Từ đó đánh giá toàn diện tình trạng răng miệng và sức khỏe tổng quát của bệnh nhân. Quy trình bao gồm kiểm tra cấu trúc xương hàm, phân tích mức độ sai lệch khớp cắn. Tình trạng răng hộ sẽ là trong những yếu tố quan trọng nhất. Yếu tố này sẽ quyết định việc có thể thực hiện bọc răng sứ hay không.
Ngoài khám lâm sàng, bệnh nhân được chỉ định chụp phim X-quang hoặc CT Cone Beam. Thông qua đó cung cấp hình ảnh chi tiết về cấu trúc xương hàm, chân răng. Dựa trên những dữ liệu này, bác sĩ sẽ đánh giá mức độ phù hợp. Từ đó thực hiện phương pháp bọc răng sứ. Sau đó bác sĩ sẽ tiến hành tư vấn loại răng sứ phù hợp nhất. Tất cả đảm bảo tính thẩm mỹ, độ bền và sự tương thích sinh học

Gây tê, mài cùi răng và điều chỉnh khớp cắn
Trước khi can thiệp, bác sĩ sẽ tiến hành vệ sinh khoang miệng. Từ đó loại bỏ mảng bám, vi khuẩn và đảm bảo môi trường điều trị vô trùng. Sau đó, thuốc gây tê cục bộ sẽ được sử dụng. Từ đó đảm bảo bệnh nhân không cảm thấy đau trong suốt quá trình thực hiện. Đồng thời giúp duy trì trạng thái thoải mái và hợp tác tốt với bác sĩ.
Tiếp theo, bác sĩ sẽ thực hiện thao tác mài cùi răng. Đây là bước quan trọng để tạo hình trụ răng làm nền cho việc gắn mão răng sứ. Tỷ lệ mài và hình dáng cùi răng sẽ được cá nhân hóa. Tất cả đều được tính toán theo tình trạng thực tế của từng bệnh nhân. Thông qua đó đảm bảo tính thẩm mỹ và độ vững chắc sau khi phục hình. Đồng thời, bác sĩ sẽ thực hiện điều chỉnh khớp cắn và định hình lại cung răng. Từ đó khắc phục tình trạng răng hô.

Lấy dấu hàm và chuyển dữ liệu về phòng Labo
Tại đây bạn đã hoàn tất việc mài cùi và điều chỉnh khớp cắn. Lúc này bác sĩ sẽ tiến hành lấy dấu mẫu hàm bằng vật liệu chuyên dụng. Cùng với đó bác sĩ sẽ kết hợp kết quả với khay lấy dấu phù hợp. Dữ liệu thu được từ mẫu hàm này sẽ được gửi về phòng Labo. Đây là nơi các kỹ thuật viên sẽ chế tác mão răng sứ với độ chính xác tuyệt đối. Tất cả đảm bảo khớp hoàn hảo với răng thật về cả hình dáng, kích thước và màu sắc.
Gắn thử và cố định mão răng sứ
Khi mão răng sứ đã hoàn thiện, bác sĩ sẽ tiến hành bước thử mão sứ trên cung hàm. Từ đó đánh giá sự phù hợp về khớp cắn, độ sát khít viền nướu và thẩm mỹ tổng thể. Một số bệnh nhân không gặp cảm giác cộm, lệch khớp hoặc khó chịu. Lúc này bác sĩ sẽ sử dụng vật liệu chuyên dụng để gắn cố định mão sứ lên cùi răng thật. Quy trình này được thực hiện một cách tỉ mỉ và cần thận. Thông qua đó đảm bảo mão răng bám chắc, ổn định lâu dài trong khoang miệng. Đồng thời mang lại hiệu quả thẩm mỹ và chức năng ăn nhai tối ưu cho bệnh nhân.

Những lưu ý để bọc răng sứ cho răng hô đạt hiệu quả
Để đảm bảo tính thẩm mỹ, chất lượng và độ bền, khi bọc răng sứ cho răng hô, khách hàng cần lưu ý những điều sau đây:
Lựa chọn cơ sở uy tín và chuyên nghiệp
Để đảm bảo quá trình bọc răng sứ diễn ra an toàn, hiệu quả và đạt tính thẩm mỹ cao, khách hàng nên ưu tiên lựa chọn các phòng khám nha khoa có uy tín trên thị trường. Một cơ sở chất lượng cần đáp ứng các tiêu chí sau:
- Phòng khám được trang bị đầy đủ máy móc, thiết bị tiên tiến. Ví dụ như máy chụp X-quang kỹ thuật số, máy scan mẫu hàm. Ngoài ra là phần mềm thiết kế CAD/CAM,… nhằm hỗ trợ quy trình điều trị chính xác.
- Bác sĩ phải có chứng chỉ hành nghề, được đào tạo chuyên sâu về phục hình răng sứ. Đồng thời có kinh nghiệm xử lý các trường hợp răng hô, lệch khớp cắn hoặc răng mòn nặng.
- Toàn bộ chi phí dịch vụ cần được tư vấn rõ ràng. Đồng thời đảm bảo không phát sinh, có hóa đơn chứng từ đầy đủ.

Ưu tiên chọn chất liệu sứ chính hãng, rõ nguồn gốc
Chất liệu sứ ảnh hưởng trực tiếp đến độ bền, màu sắc. Cùng với đó là tính an toàn khi sử dụng lâu dài. Lưu ý, nên chọn loại răng sứ có chứng từ xuất xứ. Đồng thời bảo đảm được cung cấp bởi các hãng vật liệu nha khoa uy tín toàn cầu. Tùy vào nhu cầu và ngân sách, khách hàng có thể lựa chọn:
- Răng sứ kim loại: Chi phí thấp, phù hợp với các vị trí không yêu cầu thẩm mỹ cao. Tuy nhiên nó có thể gây đen viền nướu sau thời gian dài sử dụng.
- Răng sứ Titan: Kết hợp giữa kim loại và Titan. rọng lượng nhẹ hơn, ít gây kích ứng nướu.
- Răng toàn sứ (zirconia, E.max…): Thẩm mỹ cao, màu sắc tự nhiên như răng thật. Không gây đen nướu và an toàn sinh học cao.
Chính sách bảo hành rõ ràng, lâu dài
Một cơ sở nha khoa chuyên nghiệp luôn đưa ra chính sách bảo hành. Tại đây chính sách sẽ được liệt kê chi tiết và cụ thể cho từng loại răng sứ. Điều này thể hiện cam kết về chất lượng dịch vụ. Cùng với đó là đảm bảo sự đồng hành cùng khách hàng sau điều trị. Chính sách tốt thường bao gồm:
- Thời gian bảo hành rõ ràng (từ 5 năm đến trọn đời tùy loại sứ);
- Cam kết xử lý miễn phí nếu có lỗi kỹ thuật;
- Hỗ trợ tái khám và kiểm tra định kỳ.

Quy trình vô trùng tuyệt đối trong điều trị
Bọc răng sứ là kỹ thuật cần can thiệp đến mô răng. Vì vậy kiểm soát vô trùng trong điều trị là yêu cầu bắt buộc. Thông qua đó tránh nguy cơ lây nhiễm chéo hoặc viêm nhiễm hậu phẫu. Phòng khám cần tuân thủ nghiêm ngặt các tiêu chuẩn vô trùng như:
- Sử dụng lò hấp tiệt trùng Autoclave để diệt khuẩn dụng cụ bằng hơi nước áp suất cao;
- Dụng cụ điều trị được làm sạch bằng dung dịch khử khuẩn chuyên dụng. Đảm bảo an toàn trước khi sử dụng cho từng khách hàng;
- Khử trùng bề mặt phòng điều trị thường xuyên. Đặc biệt là ghế máy nha khoa, đèn điều trị và tay nắm cửa;
- Sử dụng tủ lưu trữ vô trùng dưới ánh sáng tia cực tím. Thông qua đó bảo quản dụng cụ sạch sẵn sàng sử dụng.
Xem thêm:
- Nên bọc răng sứ kim loại hay Titan? Giải pháp nào hiệu quả
- Răng sứ có bị ố vàng không? Nguyên nhân và cách khắc phục
Trên đây là những điều cần biết về việc bọc răng sứ có hết hô không. Cùng với đó là các trường hợp răng hô và quy trình thực hiện bọc sứ cho răng hô. Để được tư vấn cụ thể, hãy liên hệ Nha khoa DrGreen theo thông tin bên dưới
Hotline: 0936.996.609
Fanpage: https://www.facebook.com/nhakhoadrgreen
Website: nhakhoadrgreen.vn
Hệ thống Nha khoa Dr Green:
- 40B Lạch Tray, Ngô Quyền, Hải Phòng
- HDS11 Vinhomes Marina, Lê Chân, Hải Phòng
- 38 Tân Dương, Thủy Nguyên, Hải Phòng
- 43 Trần Phú, Cẩm Phả, Quảng Ninh












