Viêm lợi là một vấn đề sức khỏe răng miệng phổ biến mà rất nhiều người mắc phải. Bệnh này sẽ ảnh hưởng đến mọi lứa tuổi và gây ra những cơn đau nhức khó chịu. Nếu để lâu nó có thể khiến bạn bị tụt lợi, viêm nha chu hoặc mất răng vĩnh viễn. Vậy làm sao để chữa trị hiệu quả vấn đề viêm lợi khi chưa thể đến nha khoa thực hiện? Hãy cùng Nha khoa DrGreen tìm hiểu chi tiết và khám phá các cách chữa viêm lợi tại nhà nhanh nhất, an toàn và hiệu quả trong bài viết này. Cùng với đó là những lưu ý khi thực hiện
Viêm lợi là gì? Nguyên nhân chủ yếu do đâu?
Trước khi tìm hiểu về các cách chữa viêm lợi tại nhà nhanh nhất, việc nhận diện rõ nguyên nhân viêm lợi là điều cần thiết. Viêm lợi thường bắt nguồn từ nhiều nguyên nhân khác nhau. Một trong những nguyên nhân chính là việc vệ sinh răng miệng không đúng cách. Cụ thể một số người không đánh răng hoặc sử dụng chỉ nha khoa đều đặn. Khi đó mảng bám thức ăn và vi khuẩn sót lại sẽ tích tụ trên bề mặt răng và nướu. Điều này dẫn đến sự phát triển của vi khuẩn và gây nên viêm lợi
Khác với suy nghĩ thông thường, viêm lợi không chỉ xảy ra khi bạn lớn tuổi. Một số người thay đổi nội tiết tố, đặc biệt trong thời kỳ mang thai hoặc kinh nguyệt. Những điều này cũng có thể khiến nướu trở nên nhạy cảm và dễ bị viêm hơn. Việc chăm sóc sức khỏe răng miệng trong những giai đoạn này rất quan trọng. Thông qua đó ngăn chặn tình trạng viêm tiến triển.
Ngoài ra, trẻ em và người lớn cũng sẽ có những thói quen ăn uống không tốt. Ví dụ như ăn uống thiếu chất dinh dưỡng và tiêu thụ thực phẩm có đường cao. Những điều này sẽ khiến lợi bị thiếu dưỡng chất và đề kháng phòng ngừa. Ngoài ra, đường dư thừa sẽ lên men thành axit cung cấp môi trường cho vi khuẩn phát triển. Khi đủ thời gian, chúng sẽ bám chặt và gây tổn thương lợi

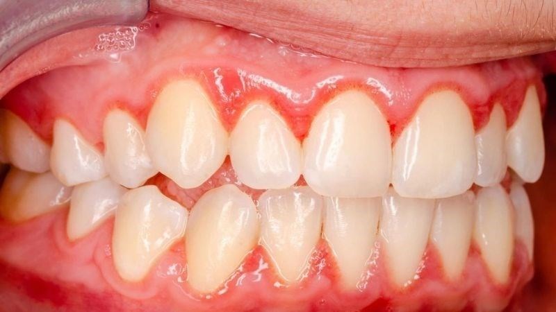
Những dấu hiệu viêm lợi thường gặp phổ biến nhất
Một trong những điều ảnh hưởng đến cách chữa viêm lợi tại nhà nhanh nhất đó chính là dấu hiệu phổ biến của viêm lợi. Các dấu hiệu cảnh báo viêm lợi (viêm nướu) phổ biến gồm như sau:
- Nướu có biểu hiện sưng tấy, đau nhức và chuyển màu từ hồng nhạt khỏe mạnh sang đỏ thẫm.
- Xuất hiện nhiều mảng bám và cao răng tích tụ, đặc biệt tại các vùng nướu bị viêm.
- Hiện tượng tụt nướu khiến phần chân răng lộ rõ hơn so với bình thường.
- Cảm giác đau khi ăn nhai, đặc biệt là với thức ăn cứng hoặc dai.
- Chảy máu nướu dễ xảy ra khi chải răng hoặc ăn uống.
- Có thể xuất hiện túi mủ tại vùng nướu sưng, gây đau và khó chịu.
- Hơi thở có mùi hôi dai dẳng, không cải thiện sau vệ sinh răng miệng.
- Răng trở nên lung lay do mất liên kết giữa răng và mô nướu.
- Cảm giác ê buốt khi tiếp xúc với thức ăn nóng, lạnh hoặc chua.

Các cách chữa viêm lợi tại nhà nhanh nhất và đầy hiệu quả
Cách chữa viêm lợi tại nhà nhanh nhất bằng nước muối
Việc sử dụng nước muối để súc miệng là một phương pháp chăm sóc răng miệng tại nhà phổ biến. Nó được nhiều người tin dùng như một cách chữa viêm lợi tại nhà nhanh nhất. Theo các chuyên gia nha khoa, nước muối có tính kháng khuẩn tự nhiên. Thông qua đó giúp làm dịu vùng lợi viêm, hỗ trợ làm sạch khoang miệng. Đồng thời góp phần cải thiện tình trạng viêm nướu.
Muối có đặc tính sát trùng nhẹ, giúp loại bỏ vi khuẩn gây hại. Thông qua đó làm giảm sưng đau và hỗ trợ mô nướu tự phục hồi. Ngoài ra, việc súc miệng bằng nước muối còn giúp loại bỏ mảng bám thực phẩm. Từ đó hạn chế hơi thở có mùi và hỗ trợ duy trì vệ sinh răng miệng hàng ngày.
Cách thực hiện:
- Bước 1: Hòa tan ½ đến ¾ thìa cà phê muối (khoảng 2,5 – 3,75g) vào một cốc nước ấm (~250ml).
- Bước 2: Súc miệng nhẹ nhàng trong khoảng 30 giây, đảm bảo dung dịch tiếp xúc đều trong khoang miệng.
- Bước 3: Nhổ bỏ dung dịch và không nuốt.

Cách chữa viêm lợi tại nhà nhanh nhất bằng tinh dầu dừa
Dầu dừa là một trong những nguyên liệu tự nhiên được ứng dụng trong cách chữa viêm lợi tại nhà nhanh nhất. Tất cả nhờ chứa axit lauric – một hợp chất có đặc tính kháng khuẩn và chống viêm mạnh. Một nghiên cứu công bố năm 2015 cho thấy việc súc miệng bằng dầu dừa. Loại dầu này có thể giảm mảng bám và cải thiện đáng kể các triệu chứng viêm lợi. Ngoài ra, phương pháp này còn được cho là giúp làm trắng răng. Từ đó giảm hơi thở có mùi, hỗ trợ giảm căng thẳng và làm sạch xoang.
Cách thực hiện:
- Bước 1: Ngậm khoảng 5 – 10ml dầu dừa phân đoạn.
- Bứớc 2: Súc dầu trong miệng nhẹ nhàng trong khoảng 20 – 30 giây. Tránh để dầu trôi xuống cổ họng.
- Bước 3: Nhổ bỏ dầu ra ngoài.
- Bước 4: Súc lại miệng bằng nước ấm.
- Bước 5: Nhổ nước súc miệng.
- Bước 6: Uống 1 ly nước lọc để làm sạch khoang miệng.
- Bước 7: Đánh răng như bình thường.

Cách chữa viêm lợi tại nhà nhanh nhất bằng tinh dầu sả
Tinh dầu sả là một loại tinh dầu thiên nhiên có đặc tính kháng khuẩn mạnh. Nó thường được sử dụng trong cách chữa viêm lợi tại nhà nhanh nhất. Một số nghiên cứu cho thấy súc miệng bằng tinh dầu sả pha loãng có hiệu quả trong việc giảm mảng bám và kiểm soát viêm lợi. Thậm chí có thể so sánh với các dung dịch súc miệng chứa chlorhexidine. Đây là một hoạt chất kháng khuẩn mạnh được sử dụng trong điều trị nha khoa. Tuy nhiên, do tinh dầu sả có tính kích ứng cao, người dùng cần pha loãng đúng cách. Thông qua đó tránh gây tổn thương niêm mạc miệng.
Cách thực hiện:
- Bước 1: Nhỏ 2–3 giọt tinh dầu sả vào khoảng 225ml nước ấm để pha loãng.
- Bước 2: Súc miệng với dung dịch trong vòng 30 giây, đảm bảo không nuốt.
- Bước 3: Nhổ dung dịch ra ngoài và không cần súc lại bằng nước.

Cách điều trị viêm lợi tại nhà bằng nước súc miệng từ lô hội
Lô hội là một trong những thành phần được biết đến với đặc tính kháng khuẩn. Đồng thời hỗ trợ cách chữa viêm lợi tại nhà nhanh nhất và làm dịu mô mềm. Một nghiên cứu năm 2016 cho thấy rằng nước súc miệng chứa lô hội có hiệu quả rất mạnh. Đặc biệt nó có thể tương đương với dung dịch chứa chlorhexidine. Đây là một hoạt chất thường được sử dụng trong điều trị viêm lợi. Cùng với đó hỗ trợ giảm mảng bám răng và cải thiện tình trạng viêm nướu. Nước lô hội nguyên chất 100% có thể sử dụng trực tiếp mà không cần xử lý thêm. Thông qua đó mang lại sự tiện lợi cho người dùng.
Hướng dẫn sử dụng:
- Bước 1: Ngậm khoảng 15–20ml nước súc miệng lô hội nguyên chất trong khoang miệng.
- Bước 2: Súc miệng nhẹ nhàng trong vòng 30 giây. Thông qua đó đảm bảo dung dịch tiếp xúc đều với các vùng lợi.
- Bước 3: Nhổ dung dịch ra ngoài và không cần súc lại bằng nước.

Cách chữa viêm lợi tại nhà hiệu quả bằng tinh dầu tràm trà
Tinh dầu tràm trà chiết xuất từ lá cây Melaleuca alternifolia – có nguồn gốc từ Úc. Nó được biết đến với đặc tính sát khuẩn mạnh, hỗ trợ giảm viêm. Đồng thời cải thiện các vấn đề nha khoa, đặc biệt là chảy máu chân răng. Đây là một trong những biểu hiện điển hình của viêm lợi. Theo một nghiên cứu năm 2014, súc miệng bằng dung dịch tinh dầu tràm trà pha loãng rất lớn. Nó sẽ giúp giảm đáng kể tình trạng chảy máu nướu. Cùng với đó là hỗ trợ kiểm soát vi khuẩn gây hại trong khoang miệng.
Tuy nhiên, tinh dầu tràm trà nguyên chất có thể gây kích ứng niêm mạc. Hoặc phản ứng dị ứng ở một số người, vì vậy cần pha loãng đúng cách và tránh nuốt. Đồng thời, tinh dầu này có thể tương tác với một số loại thuốc và thảo dược. Chính vì thế bạn cần tham khảo ý kiến bác sĩ nếu đang điều trị y tế.
Hướng dẫn sử dụng:
- Bước 1: Nhỏ 3 giọt tinh dầu tràm trà vào khoảng 225ml nước ấm.
- Bước 2: Súc miệng trong vòng 30 giây.
- Bước 3: Nhổ dung dịch ra và không cần súc lại bằng nước. Bạn có thể thêm 1 giọt tinh dầu tràm trà vào kem đánh răng mỗi khi chải răng. Thông qua đó hỗ trợ tăng hiệu quả kháng khuẩn.

Phương pháp điều trị viêm lợi tại nhà bằng gel nghệ tự nhiên
Nghệ chứa curcumin là hoạt chất nổi bật với khả năng chống viêm. Cùng với đó là có thể hỗ trợ hiệu quả việc kháng khuẩn và chống oxy hóa. Điều này rất hiệu quả trong thực hiện cách chữa viêm lợi tại nhà nhanh nhất. Gel nghệ có thể giúp giảm tích tụ mảng bám – yếu tố chính dẫn đến viêm lợi. Đồng thời hỗ trợ làm lành vùng lợi sưng tấy và giảm hiện tượng chảy máu chân răng.
Hướng dẫn sử dụng:
- Bước 1: Vệ sinh răng miệng kỹ lưỡng bằng cách chải răng và súc miệng sạch
- Bước 2: Ép hoặc giã nghệ tươi để lấy nước cốt/gel. Sau đó bôi trực tiếp vào vùng nướu bị viêm.
- Bước 3: Để nguyên khoảng 10 phút để các hoạt chất thẩm thấu vào mô nướu.
- Bước 4: Súc miệng lại bằng nước sạch để loại bỏ hoàn toàn phần gel còn sót lại.

Cách chữa viêm lợi tại nhà nhanh nhất bằng nước xô thơm
Nước xô thơm từ lâu đã được sử dụng trong các phương pháp y học dân gian. Tất cả nhờ vào các tính chất kháng khuẩn và chống viêm mạnh mẽ. Các hợp chất có trong xô thơm giúp loại bỏ mảng bám. Đồng thời ngăn ngừa sự phát triển của vi khuẩn trong khoang miệng. Thông qua đó hỗ trợ làm giảm viêm lợi và các bệnh lý về nướu.
Cách thực hiện:
- Bước 1: Chọn lá xô thơm tươi và rửa sạch để loại bỏ bụi bẩn.
- Bước 2: Đun sôi lá xô thơm với nước lọc trong khoảng 5–10 phút. Từ đó chiết xuất các thành phần hoạt tính.
- Bước 3: Lọc lấy nước và để nguội. Sử dụng dung dịch này để súc miệng trong khoảng 1–2 phút.

Cách chữa viêm lợi tại nhà nhanh nhất bằng lá đinh hương
Đinh hương có đặc tính giảm đau, kháng khuẩn và chống viêm. Đây là một lựa chọn tự nhiên hiệu quả trong cách chữa viêm lợi tại nhà nhanh nhất. Đinh hương cũng giúp ngăn ngừa mảng bám – nguyên nhân phổ biến gây viêm nướu.
Cách thực hiện:
- Bước 1: Chọn lá đinh hương tươi và rửa sạch
- Bước 2: Xay nhuyễn lá đinh hương và ép lấy nước cốt.
- Bước 3: Dùng tăm bông thấm nước cốt và bôi trực tiếp lên vùng lợi bị viêm.
- Bước 4: Sau khoảng 10–15 phút, súc miệng lại với nước sạch.

Súc miệng bằng nước lá ổi để giảm viêm lợi tại nhà
Lá ổi có tính kháng khuẩn và chống viêm mạnh. Thông qua đó giúp kiểm soát sự phát triển của mảng bám. Đồng thời làm săn se niêm mạc miệng, từ đó hỗ trợ điều trị viêm lợi hiệu quả. Lá ổi cũng giúp làm sạch các vi khuẩn gây hại, ngăn ngừa tình trạng viêm nhiễm.
Cách thực hiện
- Bước 1: Chọn 5–10 lá ổi tươi, đảm bảo lá không quá non cũng không quá già.
- Bước 2: Giã nát lá ổi và đun sôi với nước trong khoảng 10–15 phút.
- Bước 3: Để hỗn hợp nguội, sau đó cho vào một chút muối để tăng hiệu quả kháng khuẩn.
- Bước 4: Súc miệng với dung dịch này trong khoảng 30 giây, sau đó súc miệng lại bằng nước sạch.

Cách chữa trị viêm lợi tại nhà hiệu quả với lá trầu không
Lá trầu không chứa các hợp chất như peta-phenol, chavicol và các hợp chất phenolic. Những hợp chất này sẽ giúp giảm viêm và ức chế sự phát triển của vi khuẩn. Đây là nguyên nhân chính gây viêm lợi và các bệnh lý nha khoa khác. Bạn có thể thực hiện 2–3 lần/ngày. Đồng thời có thể kết hợp với các cách chữa viêm lợi tại nhà nhanh nhất để tăng hiệu quả
Cách thực hiện:
- Cách 1: Rửa sạch lá trầu không, giã nhuyễn và đun sôi với nước trong khoảng 10 phút. Để nguội và sử dụng dung dịch này để súc miệng ít nhất 2 lần/ngày, mỗi lần từ 5–10 phút.
- Cách 2: Giã nhuyễn lá trầu không cùng với một ít muối. Sau đó ngâm hỗn hợp với rượu trắng trong khoảng 15 phút. Chắt lấy nước và sử dụng để súc miệng.
- Cách 3: Rửa sạch lá trầu không, giã nhuyễn. Cùng với đó đắp trực tiếp lên vùng lợi bị viêm trong khoảng 30 giây. Sau đó, súc miệng lại với nước sạch.

Khi nào cần đến nha sĩ và lưu ý trong quá trình điều trị
Mặc dù có nhiều cách chữa viêm lợi tại nhà nhanh nhất và hiệu quả. Tuy nhiên việc khám nha sĩ vẫn rất quan trọng trong một số trường hợp nhất định. Cụ thể như sau:
Trường hợp viêm lợi kéo dài, đau dữ dội hoặc có mủ
Một số trường hợp viêm lợi kéo dài mà không có dấu hiệu thuyên giảm. Hoặc tình trạng viêm càng trở nên nghiêm trọng hơn. Lúc này bạn cần thăm khám nha sĩ ngay lập tức. Các triệu chứng như đau đớn kéo dài, nướu có mủ, hoặc sưng tấy quá mức có thể là dấu hiệu xấu. Đây có thể là cảnh báo tình trạng viêm lợi tiến triển bệnh lý nghiêm trọng hơn. Chẳng hạn như viêm nha chu. Đây là một tình trạng bệnh lý ảnh hưởng trực tiếp đến mô nâng đỡ răng. Thậm chí nó có thể dẫn đến mất răng nếu không được điều trị kịp thời.

Duy trì vệ sinh răng miệng đúng cách và tái khám
Một trong những yếu tố quan trọng giúp ngăn ngừa viêm lợi tái phát là duy trì thói quen vệ sinh răng miệng đúng cách. Bạn nên đánh răng ít nhất hai lần mỗi ngày bằng kem đánh răng có chứa fluoride. Đồng thời sử dụng chỉ nha khoa để làm sạch các kẽ răng và đến nha sĩ. Thông qua đó kiểm tra sức khỏe răng miệng định kỳ. Những thăm khám này sẽ giúp phát hiện sớm các dấu hiệu của viêm lợi. Đồng thời phát hiện các vấn đề răng miệng khác, từ đó có biện pháp điều trị kịp thời.
Ngoài ra, chế độ ăn uống hợp lý cũng đóng vai trò trong việc duy trì sức khỏe răng miệng. Bạn nên hạn chế tiêu thụ các thực phẩm chứa nhiều đường và axit,. Chúng có thể tạo điều kiện thuận lợi cho vi khuẩn phát triển và gây viêm lợi. Đồng thời, tăng cường bổ sung rau xanh và trái cây tươi. Thông qua đó cung cấp đầy đủ vitamin và khoáng chất cần thiết cho cơ thể. Cùng với đó giúp tăng cường sức đề kháng và bảo vệ sức khỏe răng miệng.

Những lưu ý khi thực hiện cách chữa viêm lợi tại nhà
Tần suất và kỹ thuật đánh răng
Cần đánh răng ít nhất hai lần mỗi ngày. Trong đó bao gồmbuổi sáng sau khi thức dậy và buổi tối trước khi đi ngủ. Đây là hai thời điểm quan trọng giúp loại bỏ vi khuẩn tích tụ sau giấc ngủ. Cùng với đó là vi khuẩn trước khi cơ thể bước vào giai đoạn nghỉ ngơi kéo dài.
Kỹ thuật đánh răng đúng cách:
- Làm sạch đầy đủ cả ba mặt của răng. Trong đó bao gồm mặt ngoài, mặt trong và mặt nhai.
- Mỗi lần đánh răng nên kéo dài tối thiểu 2 phút. Sử dụng bàn chải lông mềm và kem đánh răng chứa fluoride. Thông qua đó hỗ trợ làm sạch mảng bám và tăng cường tái khoáng men răng.
- Đừng quên làm sạch lưỡi và mặt trong má. Đây là những nơi vi khuẩn dễ tích tụ gây hôi miệng.

Lựa chọn và sử dụng loại nước súc miệng phù hợp
Nước súc miệng là sản phẩm hỗ trợ hiệu quả trong cách chữa viêm lợi tại nhà nhanh nhất. Nó sẽ giúp giảm viêm nướu và làm sạch toàn diện khoang miệng. Khi lựa chọn nước súc miệng, cần lưu ý:
- Nước súc miệng nên không chứa cồn để tránh khô miệng hoặc kích ứng nướu.
- Ưu tiên các loại chứa hoạt chất kháng khuẩn như Cetylpyridinium Chloride (CPC) hoặc Chlorhexidine. Chúng có tác dụng tiêu diệt vi khuẩn, ngăn ngừa mảng bám và viêm lợi.
- Chứa Fluoride giúp bảo vệ men răng, ngăn ngừa sâu răng. Đồng thời hỗ trợ tái khoáng hóa men bị tổn thương nhẹ.
- Có thể chọn nước súc miệng có thêm công dụng đặc biệt. Ví dụ như làm trắng răng, thơm miệng hoặc giảm ê buốt. Điều này tùy theo nhu cầu cá nhân.
- Tham khảo ý kiến bác sĩ nha khoa. Từ đó lựa chọn sản phẩm phù hợp với tình trạng răng miệng cụ thể của bạn. Đặc biệt nếu có tiền sử viêm nướu hoặc điều trị chỉnh nha.
Các bước chăm sóc răng miệng toàn diện
Để duy trì sức khỏe răng miệng toàn diện, cần kết hợp nhiều biện pháp hỗ trợ cùng lúc với các cách chữa viêm lợi tại nhà nhanh nhất và hiệu quả. Cụ thể cần lưu ý những điều sau
- Đánh răng đều đặn 2–3 lần/ngày với kỹ thuật chuẩn.
- Sử dụng chỉ nha khoa hoặc tăm nước sau mỗi bữa ăn hoặc ít nhất một lần mỗi ngày. Thông qua đó loại bỏ mảng bám và thức ăn thừa ở các kẽ răng. Đây là nơi bàn chải không tiếp cận được.
- Súc miệng sau khi ăn hoặc sau khi sử dụng chỉ nha khoa để rửa trôi vi khuẩn.
- Lấy cao răng và kiểm tra nha khoa định kỳ 6 tháng/lần. Từ đó phát hiện sớm các vấn đề tiềm ẩn.

Hỗ trợ giảm viêm nướu bằng massage nhẹ nhàng
Trong một số trường hợp viêm nướu nhẹ, massage nhẹ nhàng vùng nướu rất hiệu quả. Nó có thể hỗ trợ giảm đau tạm thời, kích thích tuần hoàn máu. Thông qua đó giúp nướu hồi phục nhanh hơn. Các bước thực hiện như sau:
- Rửa tay sạch bằng xà phòng và lau khô.
- Dùng đầu ngón tay trỏ đặt nhẹ lên vùng nướu bị đau.
- Di chuyển đầu ngón tay nhẹ nhàng theo chuyển động tròn hoặc lên – xuống. Tránh dùng lực mạnh gây tổn thương thêm.
- Thực hiện trong 1–2 phút, hoặc đến khi cảm thấy nướu bớt căng tức.
- Sau khi massage, nên súc miệng bằng nước sạch hoặc nước muối sinh lý. Từ đó làm dịu niêm mạc nướu.
Xem thêm:
- Cách lấp lỗ sâu răng tại nhà an toàn và hiệu quả nhất
- Cách trị sưng nướu răng có mủ tại nhà an toàn và hiệu quả
Viêm lợi là vấn đề sức khỏe răng miệng có thể gây ra nhiều phiền toái và đau đớn. Tuy nhiên bạn có thể yên tâm với các cách chữa viêm lợi tại nhà nhanh nhất. Cùng với đó là những lưu ý khi thực hiện chữa trị tại nhà. Để được tư vẫn cụ thể, hãy liên hệ Nha khoa DrGreen theo thông tin bên dưới
Hotline: 0936.996.609
Fanpage: https://www.facebook.com/nhakhoadrgreen
Website: nhakhoadrgreen.vn
Hệ thống Nha khoa Dr Green:
- 40B Lạch Tray, Ngô Quyền, Hải Phòng
- HDS11 Vinhomes Marina, Lê Chân, Hải Phòng
- 38 Tân Dương, Thủy Nguyên, Hải Phòng
- 43 Trần Phú, Cẩm Phả, Quảng Ninh












