Cao răng là một vấn đề phổ biến mà nhiều người gặp phải. Không chỉ gây khó chịu, cao răng còn ảnh hưởng đến sức khỏe răng miệng. Chính vì thế, hầu hết bác sĩ thường khuyên bạn lấy cao răng 6 tháng một lần. Tuy nhiên, việc lấy cao răng tại nha khoa thường khiến nhiều người lo lắng và sợ hãi. Lúc này, các phương pháp làm rụng tại nhà sẽ là giải pháp được ưu tiên. Hiểu được điều này, Nha khoa DrGreen xin chia sẻ chi tiết các cách làm rụng cao răng tại nhà an toàn và hiệu quả trong bài viết này
Cao răng là gì?
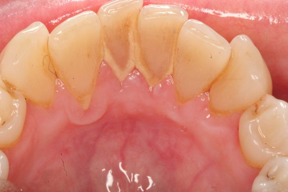
Trước khi tìm hiểu các cách làm rụng cao răng tại nhà thì cần biết cao răng là gì. Cao răng là những mảng bám, màu vàng hoặc nâu, dính chặt vào bề mặt răng. Đây là kết quả của quá trình vi khuẩn hoạt động mạnh. Những vi khuẩn này nằm trên các mảnh vụn thức ăn dư thừa bám lại trên răng. Thông qua đó chúng sẽ tạo thành mảng bám mềm. Sau một thời gian, mảng bám này dần chuyển hóa thành cao răng. Điều này do khoáng chất trong nước bọt kết hợp với vi khuẩn và chất thải sinh học.
Cao răng không chỉ làm mất đi vẻ đẹp thẩm mỹ của nụ cười. Nó còn là tác nhân gây ra nhiều vấn đề sức khỏe nghiêm trọng cho răng miệng. Nếu không được loại bỏ kịp thời, cao răng có thể dẫn đến các bệnh lý. Ví dụ như sâu răng, viêm nướu và viêm nha chu. Từ đó ảnh hưởng đến sức khỏe tổng thể của răng miệng. Khi cao răng bám lâu ngày, chúng sẽ tạo thành môi trường lý tưởng cho vi khuẩn phát triển. Điều này dẫn đến tình trạng viêm nhiễm và có thể làm tiêu xương hàm.
Đây là một vấn đề rất phổ biến mà nhiều người gặp phải. Đặc biệt trong quá trình chăm sóc răng miệng hàng ngày. Điều này xuất phát từ vệ sinh răng miệng không đầy đủ và thói quen ăn uống thiếu khoa học. Vì thế việc thăm khám nha khoa định kỳ và làm sạch cao răng là cực kỳ quan trọng. Thông qua đó bảo vệ sức khỏe răng miệng và duy trì nụ cười tự tin

Nguyên nhân hình thành cao răng
Một trong những yếu tố quan trọng trước khi tìm hiểu cách làm rụng cao răng đó là nguyên nhân hình thành. Một trong những nguyên nhân chính là do vệ sinh răng miệng không đúng cách. Một số người không đánh răng thường xuyên hoặc không sử dụng chỉ nha khoa. Lúc này mảng bám có thể tích tụ lại trên bề mặt răng. Từ đó tạo điều kiện cho vi khuẩn phát triển.
Thêm vào đó, chế độ ăn uống cũng đóng vai trò quan trọng. Một số thực phẩm giàu đường, axit như nước ngọt, bánh kẹo hay thực phẩm chứa tinh bột. Chúng sẽ dễ dàng dính lên răng, tạo nên mảng bám. Đặc biệt không được làm sạch kịp thời. Đặc biệt, việc tiêu thụ trà hoặc cà phê cũng có hại. Chúng sẽ làm tăng khả năng hình thành cao răng do màu trong đồ uống này.
Một yếu tố khác cần lưu ý là sự thay đổi hormone trong cơ thể. Chẳng hạn như trong thời kỳ mang thai hay dậy thì. Sự thay đổi này có thể làm giảm khả năng chống lại vi khuẩn trong miệng. Từ đó dẫn đến sự hình thành cao răng nhanh hơn.

Các cách làm rụng cao răng tại nhà an toàn và hiệu quả
Cách làm rụng cao răng bằng muối và chanh
Sự kết hợp giữa muối và chanh là một biện pháp tự nhiên hiệu quả. Đặc biệt trong cách làm rụng cao răng và các mảng bám gây khó chịu. Thông qua đó giúp mang lại hàm răng trắng sáng. Axit có trong chanh và đặc tính kháng khuẩn của muối không chỉ giúp làm sạch răng, Nó còn hỗ trợ trong việc ngăn ngừa hơi thở hôi.
Bạn hãy vắt một lát chanh tươi vào một ly, thêm một chút muối và nước ấm. Sau đó hãy khuấy đều cho hỗn hợp tan ra. Ngậm hỗn hợp trong miệng khoảng 5 phút và súc miệng lại với nước sạch. Tuy nhiên, cần lưu ý rằng chanh có tính axit mạnh. Vì vậy chỉ nên thực hiện phương pháp này từ 2 đến 3 lần mỗi tuần. Việc lạm dụng có thể dẫn đến bào mòn men răng và tổn thương nướu.

Cách làm rụng cao răng tại nhà hiệu quả bằng dầu dừa
Dầu dừa không chỉ nổi tiếng trong các liệu pháp làm đẹp như dưỡng tóc, dưỡng da. Nó còn có tác dụng làm cách làm rụng cao răng và mảng bám hiệu quả. Tất cả nhờ vào tính kháng khuẩn tự nhiên và khả năng làm sáng răng. Vì thế dầu dừa là một lựa chọn được nhiều người ưa chuộng. Đặc biệt trong việc chăm sóc răng miệng tại nhà.
Bạn hãy dùng một miếng bông sạch, thấm dầu dừa. Sau đó chà sát lên toàn bộ bề mặt răng trong khoảng 3-5 phút. Thực hiện đều đặn sẽ giúp giảm mảng bám và mang lại hiệu quả trắng sáng rõ rệt. Đây là phương pháp đơn giản và dễ thực hiện. Đặc biệt được ưa chuộng bởi các bạn nữ. Phương pháp này không chỉ hiệu quả mà còn dễ dàng thực hiện ngay tại nhà.

Sử dụng dầu oliu để làm sạch cao răng tại nhà
Giống như dầu dừa, dầu oliu cũng được biết đến với nhiều công dụng làm đẹp và chăm sóc sức khỏe. Trong việc làm sạch răng miệng, dầu oliu có khả năng loại bỏ các vết ố vàng. Đồng thời giúp loại bỏ hiệu quả mảng bám cứng đầu trên răng. Thông qua đó mang lại hàm răng sáng bóng và khỏe mạnh.
Cách làm rụng cao răng tại nhà bằng dầu oliu tương tự như dầu dừa. Thấm một miếng bông sạch vào dầu và chà lên bề mặt răng trong 3-5 phút. Phương pháp này không mang lại hiệu quả trắng răng ngay lập tức. Nhưng nếu thực hiện kiên trì, bạn sẽ thấy sự cải thiện rõ rệt. Trong đó hàm răng ngày càng trắng sáng một cách tự nhiên. Đồng thời giảm thiểu cao răng bám trên bề mặt răng.

Sử dụng baking soda (Bột nở) để loại bỏ cao răng
Baking soda không chỉ là một nguyên liệu làm trắng răng. Nó còn có tác dụng tẩy vôi răng tại nhà. Được biết đến với khả năng làm sạch và tẩy mảng bám, baking soda là một lựa chọn đơn giản và hiệu quả. Hòa tan một nửa muỗng baking soda với nước ấm. Thực hiện cho đến khi có được hỗn hợp đặc.
Sau khi đánh răng, sử dụng hỗn hợp này thay cho kem đánh răng. Tiếp theo chải nhẹ nhàng lên các bề mặt răng để loại bỏ các mảng bám. Sau đó, súc miệng lại với nước sạch. Tuy nhiên, chỉ nên sử dụng baking soda từ 1 đến 2 lần mỗi tuần. Từ đó tránh gây tổn thương cho men răng. Đặc biệt nếu lạm dụng có thể dẫn đến tình trạng ê buốt răng.

Sử dụng đường nâu để làm sạch cao răng
Đường nâu là một nguyên liệu dễ dàng tìm thấy trong hầu hết các gia đình. Nguyên liệu này không chỉ có tác dụng trong việc nấu ăn. Nó còn mang lại lợi ích đáng kể trong việc chăm sóc răng miệng. Đặc biệt, đường nâu chứa một lượng lớn axit glycolic. Đây là axit amin tự nhiên, giúp loại bỏ mảng bám và cao răng hiệu quả. Nhờ vào tính chất này, đường nâu có thể giúp làm sáng răng. Đồng thời hỗ trợ cách làm rụng cao răng tại nhà
Bạn chỉ cần cho một lượng nhỏ đường nâu vào miệng và ngậm từ 15 đến 20 phút. Khi đó, đường sẽ dần tan trong khoang miệng. Sau đó đi qua các kẽ răng và tác động lên các vết ố, cao răng, giúp làm sạch chúng. Để đạt được hiệu quả, bạn nên thực hiện phương pháp này đều đặn từ 1 đến 2 tuần. Khi đó bạn sẽ thấy sự cải thiện rõ rệt về màu sắc của răng.

Làm sạch vôi răng bằng dung dịch giấm pha loãng
Giấm là một nguyên liệu tự nhiên với nhiều công dụng. Trong đó có khả năng loại bỏ vôi răng và tiêu diệt vi khuẩn. Thông qua đó giúp bảo vệ sức khỏe răng miệng. Nhờ vào các dưỡng chất có trong giấm, phương pháp này không chỉ giúp làm sạch vôi răng. Nó còn ngăn ngừa viêm lợi và bảo vệ nướu khỏi các bệnh lý viêm nhiễm.
Để sử dụng giấm hiệu quả, bạn cần pha loãng giấm với nước theo tỷ lệ. Đó là 2 thìa giấm, 1/2 thìa muối và nửa bát nước ấm. Súc miệng với dung dịch này mỗi ngày. Khi đó bạn sẽ cảm nhận hiệu quả làm sạch vôi răng và bảo vệ nướu lâu dài. Tuy nhiên, cần chú ý không sử dụng giấm nguyên chất để tránh làm hỏng men răng.

Cách làm rụng cao răng tại nhà hiệu quả bằng lạc sống
Lạc sống là một thực phẩm có thành phần tự nhiên an toàn. Nó không chỉ là một nguồn thực phẩm bổ dưỡng. Đây còn có tác dụng tuyệt vời trong cách làm rụng cao răng. Đồng thời không gây tổn hại đến sức khỏe răng miệng. Lạc cung cấp vitamin D và canxi, giúp củng cố men răng. Thông qua đó bảo vệ hàm răng chắc khỏe và nụ cười tự tin.
Bạn chỉ cần nhai kỹ vài hạt lạc sống đã được phơi hoặc sấy khô. Vụn lạc khi nhai sẽ giúp loại bỏ các mảng bám trên bề mặt răng. Tuy nhiên, bạn nên chải răng lại với kem đánh răng. Từ đó loại bỏ dầu lạc còn sót lại trong miệng, tránh tạo mùi hôi khó chịu.

Lưu ý khi thực hiện cách làm rụng cao răng tại nhà
Không nên lạm dụng các phương pháp tại nhà
- Thông thường các cách làm rụng cao răng tự nhiên có thể hiệu quả. Tuy nhiên nếu lạm dụng, chúng có thể gây ra tổn thương cho men răng và nướu. Chẳng hạn, baking soda nếu sử dụng quá thường xuyên sẽ dẫn đến việc men răng bị mài mòn. Từ đó làm cho răng nhạy cảm hơn và dễ bị sâu.
- Bạn cũng nên chú ý đến thời gian áp dụng mỗi phương pháp. Mỗi lần thực hiện chỉ nên kéo dài từ 2-3 phút để đạt được hiệu quả tối ưu. Đồng thời không gây tổn hại cho răng miệng.
- Một số lúc cảm thấy đau đớn hoặc gặp khó khăn trong quá trình áp dụng. Khi này hãy ngừng ngay và tìm kiếm sự tư vấn từ bác sĩ nha khoa.
Nên đến nha sĩ định kỳ 3–6 tháng/lần để lấy cao răng
- Việc đi khám và lấy cao răng tại nha sĩ vẫn là điều cần thiết. Kể cả khi bạn có thực hiện tốt các biện pháp tại nhà. Nha sĩ sẽ kiểm tra tình trạng răng miệng của bạn. Sau đó có liệu trình phù hợp để loại bỏ cao răng hiệu quả hơn.
- Việc đi nha sĩ định kỳ cũng giúp phát hiện sớm các vấn đề khác. Ví dụ như sâu răng hay viêm nướu, từ đó đưa ra giải pháp kịp thời. Điều này cực kỳ quan trọng để bảo vệ sức khỏe răng miệng. Đồng thời ngăn chặn các bệnh lý phát triển.

Xem thêm:
- Cao răng màu đen là gì? Nguyên nhân và cách điều trị
- Bao nhiêu tuổi thì lấy cao răng? Độ tuổi nào phù hợp
Trên đây là những cách làm rụng cao răng tại nhà an toàn và hiệu quả. Tuy nhiên, việc chăm sóc răng miệng đúng cách và định kỳ thăm nha sĩ là rất quan trọng. Thông qua đó duy trì sức khỏe và đảm bảo vẻ đẹp răng miệng. Để được tư vấn cụ thể, hãy liên hệ Nha khoa DrGreen theo thông tin bên dưới
Hotline: 0936.996.609
Fanpage: https://www.facebook.com/nhakhoadrgreen
Website: nhakhoadrgreen.vn
Hệ thống Nha khoa Dr Green:
- 40B Lạch Tray, Ngô Quyền, Hải Phòng
- HDS11 Vinhomes Marina, Lê Chân, Hải Phòng
- 38 Tân Dương, Thủy Nguyên, Hải Phòng
- 43 Trần Phú, Cẩm Phả, Quảng Ninh












