Niềng răng là một trong những phương pháp nha khoa giúp cải thiện vẻ đẹp hàm răng. Tuy nhiên, trong một số trường hợp, khí cụ chỉnh nha không tương thích với cấu trúc xương hàm. Lúc này, bác sĩ sẽ cắm vít niềng răng để hỗ trợ việc di chuyển răng hiệu quả. Những chiếc vít này khi niềng có thể gây khó chịu cho bạn khi sinh hoạt hàng ngày. Chính vì thế, nhiều người thắc mắc rằng cắm vít niềng răng bao lâu thì tháo được để đảm bảo an toàn? Hãy cùng Nha khoa DrGreen giải đáp trong bài viết này
Cắm vít niềng răng là gì?
Trước khi tìm hiểu cắm vít niềng răng bao lâu thì tháo được thì cần biết cắm vít niềng răng là gì. Vít niềng răng là một kỹ thuật tương đối mới trong lĩnh vực chỉnh nha. Nó đóng vai trò quan trọng trong việc tạo điểm neo chặn tạm thời. Thông qua đó hỗ trợ di chuyển răng theo kế hoạch điều trị. Tuy nhiên kỹ thuật này vẫn chưa thật sự phổ biến trong cộng đồng. Điều này sẽ dẫn đến sự nhầm lẫn giữa vít niềng răng và trụ Implant. Implant thiết bị được sử dụng trong cấy ghép nha khoa để phục hồi răng mất.
Khác với Implant, vít niềng răng có kích thước nhỏ gọn hơn đáng kể. Nó thường có chiều dài từ 6 đến 12 mm và đường kính khoảng 1,4 đến 2 mm. Vít được làm từ titanium – vật liệu sinh học đã được chứng minh là an toàn. Đồng thời tương thích tốt với mô xương hàm. Hình dạng của vít thường là dạng xoắn ốc. Từ đó cố định chắc chắn vào xương hàm trong suốt quá trình điều trị.
Loại vít này giúp tạo điểm neo ổn định mà không phụ thuộc vào các răng kế cận. Chính vì thế vít niềng răng cho phép bác sĩ kiểm soát lực kéo chính xác hơn. Thông qua đó giúp rút ngắn thời gian điều trị. Đồng thời nâng cao hiệu quả chỉnh nha trong các trường hợp phức tạp.

Công dụng của việc cắm vít niềng răng là gì?
Một trong những điều quan trọng nhiều người thắc mắc ngoài việc cắm vít niềng răng bao lâu thì tháo đó là công dụng. Việc ứng dụng vít chỉnh nha (minivis) trong quá trình niềng mang lại nhiều lợi ích. Thông qua đó góp phần nâng cao hiệu quả điều trị và tối ưu hóa thời gian chỉnh nha. Cụ thể:
- Vít chỉnh nha giúp tạo điểm neo vững chắc, hỗ trợ di chuyển răng chính xác. Từ đó có thể rút ngắn thời gian điều trị từ 3 đến 6 tháng. Đặc biệt khi so với các phương pháp truyền thống.
- Vị trí cắm vít đóng vai trò như một điểm tựa cố định. Từ đó giúp kiểm soát tốt hơn hướng và lực kéo khi di chuyển răng. Điều này đặc biệt quan trọng trong việc điều chỉnh khớp cắn và đưa răng về đúng vị trí
- Vít chỉnh nha giúp duy trì lực kéo ổn định trên dây cung. Từ đó hỗ trợ điều chỉnh các răng mọc lệch, chen chúc hoặc sai lệch khớp cắn
- Việc sử dụng vít giúp kiểm soát tốt hơn quá trình dịch chuyển răng. Hạn chế các ảnh hưởng không mong muốn như tiêu xương, sai lệch khớp cắn
- Vít được chế tác từ titanium nguyên chất – một vật liệu tương thích sinh học cao. Chính vì thế nó không gây kích ứng cho mô mềm. Đồng thời đảm bảo an toàn tại vị trí đặt vít trong xương hàm.
- Vít chỉnh nha mang lại hiệu quả cao trong các tình trạng sai khớp cắn nghiêm trọng. Từ đó giúp định hướng lực kéo chính xác. Đồng thời không cần can thiệp phẫu thuật trong nhiều trường hợp.

Cắm vít niềng răng bao lâu thì tháo được là an toàn nhất?
Vừa rồi chúng ta đã biết được kỹ thuật cắm vít niềng răng là gì. Lúc này điều nhiều người quan tâm đó là cắm vít niềng răng bao lâu thì tháo được. Thời gian cắm và tháo vít niềng răng phụ thuộc vào nhiều yếu tố khác nhau. Trong đó bao gồm tình trạng răng miệng ban đầu, phương pháp điều trị được lựa chọn. Cùng với đó là sự đáp ứng của răng với quá trình chỉnh nha. Thông thường, quá trình niềng răng tổng thể kéo dài từ 12 đến 24 tháng. Trong khi thời gian sử dụng vít niềng răng có thể kéo dài khoảng 24 tháng
Vít niềng răng là một phần của kế hoạch điều trị chỉnh nha. Đây là giải pháp được bác sĩ chỉ định khi để hỗ trợ quá trình dịch chuyển răng. Thời gian sử dụng vít niềng răng có thể dao động từ vài tháng đến hơn một năm. Điều này tùy thuộc vào tình trạng răng và tốc độ dịch chuyển của chúng. Một thời gian sau răng đã di chuyển vào đúng vị trí mong muốn. Lúc này bạn sẽ không còn cần sự hỗ trợ của vít, bác sĩ sẽ tiến hành tháo vít.
Tuy nhiên, điều này cần được theo dõi kỹ lưỡng qua các lần tái khám. Thông qua đó đảm bảo hiệu quả và an toàn cho bệnh nhân. Như vậy, quá trình sử dụng vít niềng răng không có một thời gian cụ thể cho tất cả mọi người. Nó cần dựa vào sự đánh giá và hướng dẫn chuyên môn của bác sĩ chỉnh nha. Từ đó đạt được kết quả tối ưu cho từng trường hợp.

Yếu tố ảnh hưởng đến việc cắm vít niềng răng bao lâu thì tháo
Như đã nói, việc cắm vít niềng răng bao lâu thì tháo phụ thuộc nhiều yếu tố. Trong đó, mức độ sai lệch răng và kế hoạch điều trị của bác sĩ là hai yếu tố chính. Ngoài ra, còn có những yếu tố khác ảnh hưởng như sau:
Mức độ sai lệch răng và kế hoạch điều trị của bác sĩ
Mức độ sai lệch răng của từng bệnh nhân là yếu tố quan trọng nhất. Đây là yếu tố ảnh hưởng đến việc cắm vít niềng răng bao lâu thì tháo. Các trường hợp sai lệch nhẹ thường yêu cầu ít thời gian hơn để chỉnh sửa. Trong khi những trường hợp phức tạp đòi hỏi một kế hoạch điều trị chi tiết và kéo dài hơn. Ví dụ như lệch lạc nghiêm trọng hoặc vấn đề về khớp cắn. Bác sĩ chỉnh nha sẽ xác định chi tiết căn cứ mức độ sai lệch và tình trạng răng miệng. Từ đó xây dựng một phác đồ điều trị phù hợp, tối ưu nhất cho từng trường hợp.

Sự tuân thủ tái khám và chăm sóc răng miệng của bệnh nhân
Tuân thủ đúng lịch tái khám và chế độ chăm sóc răng miệng hàng ngày đóng vai trò cực kỳ quan trọng trong tiến trình niềng răng. Một số trường hợp bệnh nhân thực hiện đầy đủ các cuộc hẹn với bác sĩ. Lúc này sẽ được theo dõi sát sao sự tiến triển của quá trình chỉnh nha. Thông qua đó giúp bác sĩ can thiệp kịp thời nếu phát sinh vấn đề.
Ngoài ra, việc vệ sinh răng miệng đúng cách mỗi ngày là yếu tố không thể thiếu. Việc này sẽ giúp bệnh nhân ngăn ngừa các bệnh lý có thể xảy ra khi niềng. Ví dụ như sâu răng, viêm nướu hay viêm lợi. Nếu không được điều trị kịp thời có thể ảnh hưởng tiêu cực đến hiệu quả niềng răng.

Phương pháp niềng răng được thực hiện
Hiện nay, các phương pháp niềng răng hiện đại đã giúp rút ngắn thời gian điều trị. Đồng thời cải thiện hiệu quả chỉnh nha. Ví dụ như chẳng hạn như niềng răng trong suốt hoặc niềng răng bằng mắc cài tự buộc. Bác sĩ sẽ đánh giá kỹ lưỡng tình trạng răng miệng của bệnh nhân. Sau đó bác sĩ đưa ra một kế hoạch điều trị phù hợp. Bao gồm các bước chi tiết để điều chỉnh và cải thiện vị trí của các răng.
Sự phối hợp chặt chẽ giữa bác sĩ và bệnh nhân trong suốt quá trình niềng răng là yếu tố then chốt . Thông qua đó đạt được kết quả điều trị tốt nhất. Đồng thời giúp quá trình điều trị diễn ra suôn sẻ và hiệu quả hơn.

Quy trình thực hiện cắm vít khi niềng răng chi tiết nhất
Vừa rồi chúng ta đã biết cắm vít niềng răng bao lâu thì tháo được. Cùng với đó là các yếu tố ảnh hưởng đến việc thực hiện cắm vít niềng răng. Lúc này bạn sẽ quan tâm đến việc quy trình cắm vít niềng răng diễn ra thế nào. Cụ thể như sau:
Thăm khám tổng quát và chụp X-quang vị trí
- Trước khi thực hiện, bác sĩ sẽ tư vấn chi tiết cho bệnh nhân về cơ chế hoạt động. Cùng với đó là lợi ích và các bước trong quy trình cắm vít. Thông qua đó đảm bảo sự hiểu rõ và yên tâm cho người điều trị.
- Bác sĩ sẽ tiến hành kiểm tra tình trạng răng miệng tổng quát. Trong đó bao gồm nướu, xương hàm và các răng liên quan.
- Tiếp theo, chụp X-quang 2D hoặc 3D được thực hiện. Việc này sẽ đánh giá mật độ xương và khoảng trống giữa các chân răng.
- Lựa chọn vị trí cắm vít tối ưu vừa đảm bảo hiệu quả chỉnh nha. Đồng thời tránh gây tổn thương các cấu trúc lân cận. Ví dụ như dây thần kinh hoặc xoang hàm.
Gây tê – Đảm bảo sự thoải mái tuyệt đối cho bệnh nhân
- Trước khi đặt vít, bác sĩ sẽ thực hiện gây tê tại chỗ. Từ đó bệnh nhân hoàn toàn không cảm thấy đau hay khó chịu trong suốt quá trình.
- Thuốc tê dạng bôi sẽ được sử dụng trước để giảm cảm giác khi tiêm.
- Sau đó, bác sĩ tiêm một lượng nhỏ thuốc tê vào vùng niêm mạc xung quanh vị trí. Từ đó đảm bảo hiệu quả gây tê nhanh chóng và an toàn.

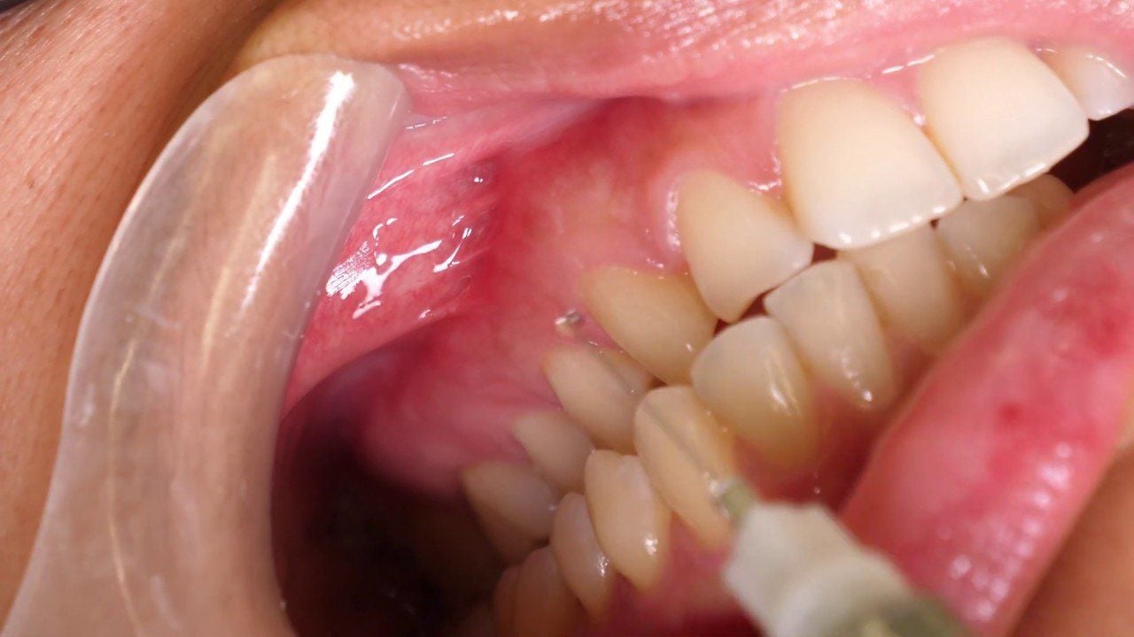
Thực hiện cắm vít chỉnh nha
- Bác sĩ sử dụng dụng cụ chuyên dụng và vít chỉnh nha có thiết kế đặc biệt. Thông qua đó tiến hành cắm vít trực tiếp vào xương hàm.
- Vít được cố định nhờ cơ chế cơ học và ổn định sinh học. Điều này có thể chịu lực ngay lập tức sau khi cắm.
- Bạn cần lưu ý rằng vít chỉnh nha sẽ khác biệt hoàn toàn implant nha khoa. Tại đây vít chỉnh nha không tích hợp cố định lâu dài với xương. Do đó việc tháo ra sau điều trị rất đơn giản và không gây tổn thương mô cứng.
Tháo vít sau khi hoàn tất điều trị cần thiết
- Theo thời gian bạn sẽ không còn nhu cầu sử dụng điểm neo. Lúc này bác sĩ sẽ tiến hành tháo vít ra một cách nhẹ nhàng.
- Quy trình tháo vít diễn ra nhanh chóng, không cần gây tê và không gây đau đớn. Điều này do vít không hàn chặt vào xương như trụ implant.
- Vùng mô xung quanh vị trí cắm vít sẽ tự lành sau một thời gian ngắn. Đồng thởi không để lại di chứng.

Những lưu ý để giảm đau trong khi cắm vít niềng răng
Chườm đá
Để giảm sưng và làm dịu cơn đau sau khi cắm vít niềng răng, bạn có thể áp dụng phương pháp chườm đá. Đặt đá vào túi chườm hoặc bọc trong một miếng vải mềm. Sau đó đắp lên vùng má nơi đặt vít. Thời gian chườm nên kéo dài khoảng 15 phút mỗi lần. Đồng thời mát xa nhẹ nhàng khu vực xung quanh để tránh gây cảm giác rát hoặc khó chịu. Bạn có thể lặp lại thao tác này nhiều lần trong ngày. Thông qua đó giảm tình trạng sưng tấy và giúp khu vực cắm vít hồi phục nhanh chóng.
Ăn thức ăn mềm
Trong giai đoạn này, việc ăn uống cần được chú trọng để tránh làm tổn thương vùng có vít niềng. Thức ăn cứng có thể gây va chạm hoặc làm lệch vị trí của vít. Vì vậy, bạn nên hạn chế ăn các loại thực phẩm cứng. Cùng với đó là ưu tiên các món ăn mềm, dễ nhai. Ví dụ như cháo, canh, súp, sinh tố hoặc sữa tươi. Những loại thực phẩm này sẽ giúp bạn dễ dàng ăn uống. Đồng thời không làm ảnh hưởng đến quá trình điều trị.

Nghỉ ngơi đầy đủ
Việc cắm vít niềng răng có thể tạo ra một áp lực nhất định lên cơ thể. Do đó việc nghỉ ngơi hợp lý là rất quan trọng. Bạn nên tránh lo lắng hay căng thẳng. Đồng thời hạn chế các va chạm mạnh vào khu vực có vít. Cung cấp đủ thời gian để cơ thể phục hồi sẽ giúp vết thương lành nhanh chóng. Cùng với đó hỗ trợ niềng răng diễn ra thuận lợi, rút ngắn thời gian điều trị
Vệ sinh răng miệng đúng cách
Lúc này vít niềng răng đã được cố định trong xương hàm. Vì thế việc vệ sinh xung quanh vít cực kỳ quan trọng để đảm bảo sức khỏe răng miệng. Cần phải làm sạch kỹ lưỡng để tránh thức ăn thừa tích tụ. Cùng với đó hạn chế gây viêm nhiễm quanh vít và có thể dẫn đến tình trạng vít bị rơi ra ngoài. Vì vậy, bệnh nhân cần tuân thủ các hướng dẫn vệ sinh răng miệng của bác sĩ. Đồng thời sử dụng các dụng cụ vệ sinh đặc biệt nếu cần thiết. Cùng với đó thực hiện đều đặn mỗi ngày để bảo vệ sức khỏe răng miệng.

Uống thuốc giảm đau
Sau khi thực hiện cắm vít niềng răng, bác sĩ thường sẽ kê đơn thuốc giảm đau. Cùng với đó là thuốc giảm sưng tấy để hỗ trợ bạn trong quá trình hồi phục. Nếu cơn đau chỉ ở mức độ nhẹ và có thể chịu đựng được, bạn không cần phải dùng thuốc. Tuy nhiên, một số lúc cảm giác đau trở nên dữ dội hoặc không thể chịu đựng. Tại đây bạn nên sử dụng thuốc giảm đau theo đúng chỉ định của bác sĩ. Việc tuân thủ liều lượng và hướng dẫn sử dụng thuốc là rất quan trọng. Thông qua đó tránh các tác dụng phụ không mong muốn. Đồng thời hỗ trợ quá trình điều trị hiệu quả hơn.
Có thể bạn quan tâm:
- Niềng răng có bị hóp má không? Những điều cần biết
- Giai đoạn xấu nhất khi niềng răng là lúc nào? Cách khắc phục
Vừa rồi chúng ta đã biết được cắm vít niềng răng bao lâu thì tháo là an toàn. Tuy nhiên, từng trường hợp lại có sự khác biệt tùy thuộc vào mức độ sai lệch răng, kế hoạch điều trị. Cùng với đó là sự tuân thủ của bệnh nhân với lịch tái khám và chăm sóc răng miệng. Để được tư vấn cụ thể, hãy liên hệ Nha khoa DrGreen theo thông tin bên dưới
Hotline: 0936.996.609
Fanpage: https://www.facebook.com/nhakhoadrgreen
Website: nhakhoadrgreen.vn
Hệ thống Nha khoa Dr Green:
- 40B Lạch Tray, Ngô Quyền, Hải Phòng
- HDS11 Vinhomes Marina, Lê Chân, Hải Phòng
- 38 Tân Dương, Thủy Nguyên, Hải Phòng
- 43 Trần Phú, Cẩm Phả, Quảng Ninh












