
Vệ sinh răng miệng cho trẻ mầm non là một yếu tố then chốt trong việc phát triển toàn diện của bé. Không chỉ đơn thuần là

Trẻ không có mầm răng là một vấn đề răng miệng hiếm gặp nhưng lại gây lo lắng cho nhiều bậc phụ huynh. Không chỉ ảnh hưởng

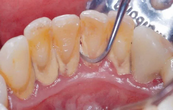
Lấy cao răng định kỳ là bước chăm sóc răng miệng quan trọng giúp ngăn ngừa viêm nướu, sâu răng và nhiều vấn đề nha khoa khác.

Lấy cao răng là một thủ thuật nha khoa quen thuộc, giúp loại bỏ mảng bám cứng đầu và duy trì sức khỏe răng miệng. Tuy nhiên,

Cao răng là một trong những vấn đề răng miệng phổ biến nhưng lại thường bị xem nhẹ cho đến khi gây ra các triệu chứng khó

Ai cũng biết tầm quan trọng của việc đánh răng, nhưng không phải ai cũng thực sự hiểu cách đánh răng sạch sẽ và hiệu quả. Một











