
Trước khi niềng răng thì yếu tố cấu trúc xương hàm sẽ được xem xét đầu tiên. Tuy nhiên, có một số trường hợp cấu trúc xương

Hiện nay, khi nghĩ tới khắc phục sâu răng thì việc nhổ răng sẽ là điều nhiều người nghĩ đến. Phương pháp này sẽ giúp các răng

Răng số 6 là răng hàm vĩnh viễn đầu tiên mọc lên khi bạn khoảng 6 tuổi. Loại răng này nằm ở vị trí cuối trong khoang

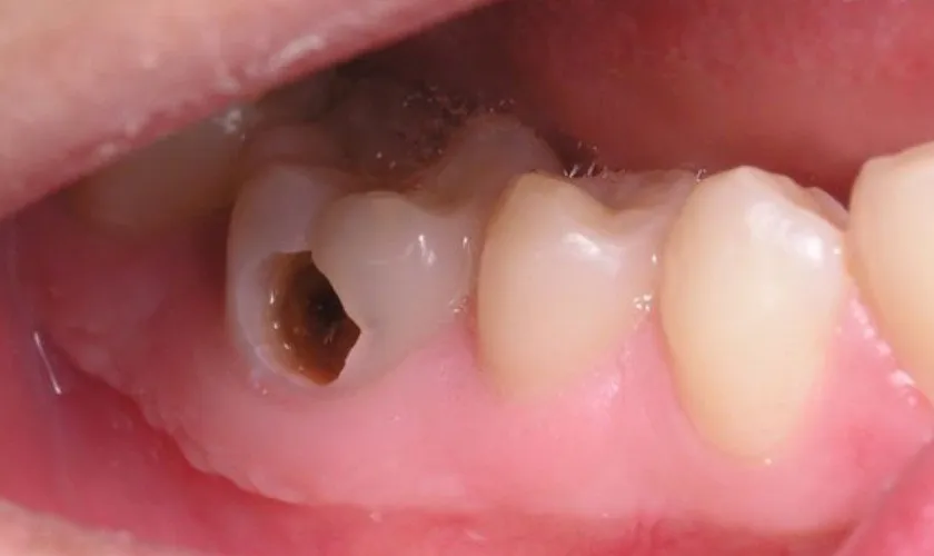
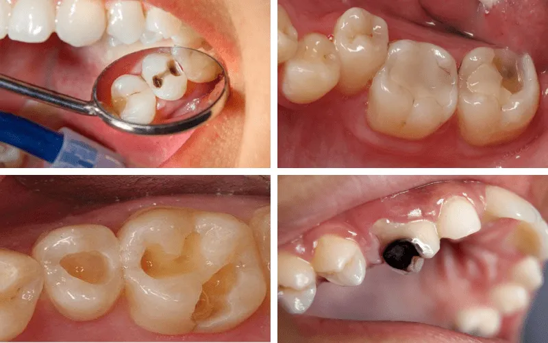
Hiện nay, một số người để tình trạng răng bị sâu kéo dài dẫn đến biến chứng nặng nề. Trong đó, răng bị lủng lỗ là triệu

Trong quá trình phát triển của trẻ thì những chiếc răng sẽ lần lượt rụng và mọc lên. Tuy nhiên, có một số trường hợp răng mọc

Sâu răng là một trong những vấn đề răng miệng rất nhiều người gặp phải hiện nay. Tuy nhiên, một số bệnh nhân để sâu răng kéo











