Chảy máu chân răng là bệnh gì? Đây là một hiện tượng không chỉ gây khó chịu mà còn là dấu hiệu cho thấy tình trạng sức khỏe răng miệng của bạn đang gặp vấn đề. Việc nhận biết và hiểu rõ nguyên nhân cũng như cách xử lý chảy máu chân răng sẽ giúp bạn bảo vệ sức khỏe răng miệng tốt hơn.
Nguyên nhân phổ biến gây chảy máu chân răng
Chảy máu chân răng thường xuất phát từ nhiều nguyên nhân khác nhau, trong đó có những yếu tố liên quan đến vệ sinh răng miệng, chế độ ăn uống, hoặc các bệnh lý nha khoa. Dưới đây là những nguyên nhân phổ biến nhất.
– Xem thêm : Bệnh chảy máu chân răng có nguy hiểm không, có cần đến nha sĩ?
Viêm nướu do mảng bám, cao răng và vệ sinh không đúng cách
Viêm nướu là một trong những nguyên nhân hàng đầu dẫn đến chảy máu chân răng. Khi bạn không vệ sinh răng miệng đúng cách, mảng bám thức ăn sẽ tích tụ trên bề mặt răng và nướu.
Khi mảng bám này không được loại bỏ, nó sẽ dần chuyển thành cao răng. Điều này kích thích phản ứng viêm, làm cho nướu trở nên đỏ, sưng và dễ chảy máu. Đặc biệt, khi bạn chải răng hoặc dùng chỉ nha khoa, việc làm này có thể gây ra sự chảy máu ở nướu.
Để phòng ngừa tình trạng này, việc đánh răng ít nhất hai lần mỗi ngày và sử dụng chỉ nha khoa là rất cần thiết. Thêm vào đó, việc sử dụng nước súc miệng kháng khuẩn cũng góp phần làm giảm thiểu mảng bám và nguy cơ viêm nướu.
Bệnh nha chu: viêm quanh răng tiến triển gây tổn thương nướu

Bệnh nha chu là một dạng nhiễm trùng nướu nghiêm trọng hơn. Nó xảy ra khi viêm nướu không được điều trị kịp thời, dẫn đến viêm nhiễm lan rộng ra các mô xung quanh răng.
Quá trình này không chỉ gây ra chảy máu chân răng mà còn có thể làm răng lung lay, thậm chí mất răng nếu không được điều trị. Các triệu chứng đi kèm với bệnh nha chu bao gồm hơi thở hôi, tụt nướu và cảm giác đau nhức khi ăn uống.
Việc điều trị bệnh nha chu thường bao gồm việc làm sạch sâu để loại bỏ cao răng và mảng bám, kết hợp với các phương pháp điều trị như kháng sinh hay phẫu thuật nếu cần thiết.
Triệu chứng và dấu hiệu cần chú ý

Những triệu chứng đi kèm với chảy máu chân răng cũng rất quan trọng vì chúng có thể giúp bạn xác định mức độ nghiêm trọng của tình trạng này. Dưới đây là một số triệu chứng bạn cần chú ý.
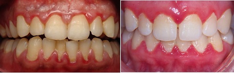
Nướu sưng đỏ, mềm, dễ chảy máu khi chải hoặc dùng chỉ nha khoa
Nướu bị sưng, đỏ và mềm là một trong những triệu chứng đầu tiên của viêm nướu. Nếu bạn nhận thấy nướu của mình có những biểu hiện này, khả năng cao là bạn đã bị viêm nướu.
Chảy máu khi chải răng hoặc dùng chỉ nha khoa là một dấu hiệu rõ ràng cho thấy nướu đang gặp vấn đề. Nếu hiện tượng này xảy ra thường xuyên, bạn cần đến bác sĩ nha khoa để được thăm khám và điều trị.
Điều quan trọng là không nên xem nhẹ tình trạng này. Việc kéo dài có thể dẫn đến những biến chứng nghiêm trọng hơn, bao gồm sự phát triển của bệnh nha chu.
Răng lung lay, hôi miệng, tụt nướu hoặc áp-xe quanh răng
Ngoài việc nướu chảy máu, các triệu chứng khác như răng lung lay, hôi miệng, tụt nướu hay áp-xe quanh răng cũng là những dấu hiệu cảnh báo đáng lưu ý.
Răng lung lay thường xuất phát từ việc tổn thương mô nướu và xương quanh răng, dẫn đến sự mất ổn định. Hơi thở hôi thường liên quan đến tình trạng viêm nhiễm, trong khi tụt nướu là dấu hiệu cho thấy nướu đang bị tổn thương.
Áp-xe quanh răng là một tình trạng nghiêm trọng, có thể gây ra đau nhức dữ dội và có thể cần phải điều trị ngay lập tức. Nếu bạn gặp phải bất kỳ triệu chứng nào trong số này, hãy tìm kiếm sự tư vấn từ bác sĩ nha khoa ngay lập tức.
Điều trị và phòng ngừa chảy máu chân răng

Việc điều trị chảy máu chân răng không chỉ tập trung vào việc chữa trị triệu chứng mà còn bao gồm cả việc phòng ngừa tái phát. Dưới đây là một số phương pháp điều trị và biện pháp phòng ngừa hiệu quả.
Tẩy cao răng, vệ sinh đúng kỹ thuật và dùng nước súc miệng kháng khuẩn
Một trong những cách đơn giản và hiệu quả nhất để điều trị chảy máu chân răng là tẩy cao răng. Quy trình này được thực hiện bởi bác sĩ nha khoa để loại bỏ tất cả mảng bám và cao răng tích tụ.
Bên cạnh đó, bạn cũng cần chú ý đến kỹ thuật đánh răng của mình. Sử dụng bàn chải có lông mềm và chải nhẹ nhàng để tránh làm tổn thương nướu.
Nước súc miệng kháng khuẩn cũng là một công cụ hữu ích giúp tiêu diệt vi khuẩn và làm giảm mảng bám, từ đó giúp nướu khỏe mạnh hơn.
Khám nha khoa định kỳ, điều trị viêm nướu/ nha chu và thay đổi chế độ ăn uống
Khám nha khoa định kỳ là một phần không thể thiếu trong việc duy trì sức khỏe răng miệng. Bác sĩ sẽ kiểm tra tình trạng răng miệng của bạn và đưa ra những lời khuyên phù hợp.
Nếu bạn đã mắc các bệnh lý như viêm nướu hay bệnh nha chu, việc điều trị sớm là rất quan trọng. Ngoài ra, việc thay đổi chế độ ăn uống bằng cách tăng cường các thực phẩm giàu vitamin C và khoáng chất sẽ giúp tăng cường sức khỏe nướu, giảm thiểu nguy cơ chảy máu chân răng.
– Xem thêm :Trị dứt điểm chảy máu chân răng như thế nào?
Kết luận

Chảy máu chân răng là một triệu chứng không nên xem nhẹ, vì nó có thể phản ánh tình trạng sức khỏe răng miệng của bạn. Hiểu rõ nguyên nhân và triệu chứng sẽ giúp bạn có những biện pháp xử lý kịp thời và hiệu quả. Việc duy trì vệ sinh răng miệng đúng cách, khám nha khoa định kỳ và điều chỉnh chế độ ăn uống là những cách tốt nhất để phòng ngừa tình trạng này.
Đừng để chảy máu chân răng trở thành nỗi lo thường trực mỗi ngày!
Chỉ với một lần thăm khám, bạn có thể phát hiện và xử lý sớm các vấn đề răng miệng tiềm ẩn.
Liên hệ ngay với Nha khoa DrGreen để được kiểm tra và tư vấn miễn phí tình trạng nướu – răng!
Hotline: 0936.996.609
Fanpage: https://www.facebook.com/nhakhoadrgreen
Website: nhakhoadrgreen.vn
Hệ thống Nha khoa Dr Green:
- 40B Lạch Tray, Ngô Quyền, Hải Phòng
- HDS11 Vinhomes Marina, Lê Chân, Hải Phòng
- 38 Tân Dương, Thủy Nguyên, Hải Phòng
- 43 Trần Phú, Cẩm Phả, Quảng Ninh