Khám răng định kỳ cần làm gì là câu hỏi được nhiều người đặt ra khi nói đến việc duy trì sức khỏe răng miệng. Việc thăm khám đều đặn không chỉ giúp phát hiện sớm các vấn đề về răng mà còn duy trì sức khỏe tổng thể của khoang miệng. Trong bài viết này, chúng ta sẽ đi sâu vào quy trình khám răng định kỳ và những điều cần lưu ý.
Xem thêm : Nha khoa Dr Green – Phòng khám răng tại Hải Phòng uy tín
Các bước trong một buổi khám răng định kỳ

Khi bạn đến phòng khám nha khoa để thực hiện việc khám răng định kỳ, quy trình thường được chia thành các bước cụ thể. Những bước này không chỉ giúp bác sĩ đánh giá tình trạng răng miệng của bạn mà còn đảm bảo rằng bạn nhận được sự chăm sóc tốt nhất.
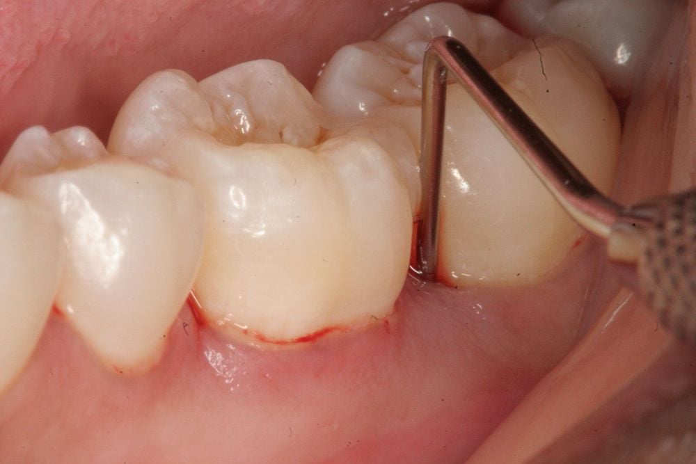
Khám tổng quát: kiểm tra răng, nướu, lưỡi, khoang miệng và chụp X‑quang nếu cần

Đầu tiên, bác sĩ nha khoa sẽ tiến hành kiểm tra tổng quát. Đây là bước rất quan trọng vì nó giúp bác sĩ có cái nhìn tổng quát về tình trạng sức khỏe răng miệng của bạn.
Kiểm tra răng miệng bao gồm việc đánh giá tình trạng của từng chiếc răng, từ bề mặt cho đến chân răng. Bác sĩ sẽ tìm kiếm các dấu hiệu sâu răng, mòn răng hoặc các triệu chứng bất thường. Ngoài ra, nướu cũng được kiểm tra cẩn thận để xác định liệu có dấu hiệu viêm nhiễm hay không.
Bên cạnh đó, bác sĩ cũng sẽ xem xét lưỡi và các mô mềm trong khoang miệng. Việc này là rất cần thiết để phát hiện sớm các bệnh lý có thể xảy ra, chẳng hạn như lở loét hoặc ung thư miệng.
Nếu cần thiết, bác sĩ sẽ yêu cầu thực hiện chụp X-quang để có cái nhìn rõ hơn về cấu trúc bên trong của răng và xương hàm. Điều này giúp phát hiện các vấn đề tiềm ẩn mà mắt thường không thể thấy.
Làm sạch chuyên nghiệp: cạo vôi, dùng máy siêu âm, đánh bóng răng và dùng chỉ nha khoa
Sau khi đã khám tổng quát, bước tiếp theo trong quy trình khám răng định kỳ chính là làm sạch chuyên nghiệp. Đây là bước không thể thiếu nhằm loại bỏ mảng bám, vôi răng và các tạp chất khác tích tụ trên bề mặt răng.
Công việc cạo vôi răng thường được thực hiện bằng cách sử dụng các dụng cụ chuyên nghiệp hoặc máy siêu âm. Việc này giúp loại bỏ các mảng bám cứng đầu mà bàn chải thông thường không thể làm sạch được.
Sau khi cạo vôi, bác sĩ sẽ tiến hành đánh bóng răng để làm cho bề mặt răng trở nên sáng bóng và mịn màng hơn. Cuối cùng, sử dụng chỉ nha khoa là bước quan trọng để loại bỏ thức ăn thừa và vi khuẩn giữa các kẽ răng mà bàn chải không thể tiếp cận.
Một lần làm sạch chuyên nghiệp không chỉ giúp bạn có hơi thở thơm tho mà còn góp phần đáng kể trong việc ngăn ngừa sâu răng và các bệnh nướu.
Mục đích của khám định kỳ

Việc khám răng định kỳ không chỉ đơn thuần là một hoạt động duy trì sức khỏe mà còn có nhiều mục đích quan trọng khác. Dưới đây là hai mục đích chính mà bạn nên biết.
Phát hiện sớm sâu răng, viêm nướu, nha chu và các bệnh lý khoang miệng
Một trong những lợi ích lớn nhất của việc khám răng định kỳ là khả năng phát hiện sớm các vấn đề về sức khỏe răng miệng. Sâu răng, viêm nướu và các bệnh lý khác có thể diễn biến âm thầm và không gây ra triệu chứng rõ ràng trong giai đoạn đầu.
Khi được phát hiện sớm, các vấn đề này có thể được điều trị dễ dàng và hiệu quả hơn, tiết kiệm thời gian và chi phí cho người bệnh. Ví dụ, một chiếc răng sâu nếu được điều trị kịp thời có thể chỉ cần trám, trong khi nếu để lâu sẽ phải nhổ hoặc điều trị phức tạp hơn.
Ngoài ra, việc phát hiện các dấu hiệu bệnh lý khoang miệng như ung thư miệng cũng rất quan trọng. Những người thường xuyên thăm khám răng định kỳ sẽ có cơ hội cao hơn để phát hiện và xử lý kịp thời các vấn đề nghiêm trọng.
Ngăn ngừa, tiết kiệm chi phí và cải thiện thói quen vệ sinh tại nhà
Khám răng định kỳ còn có tác dụng ngăn ngừa các vấn đề răng miệng xảy ra. Khi bạn hiểu rõ tình trạng răng miệng của mình, bạn có thể điều chỉnh thói quen vệ sinh hàng ngày để tránh mắc phải những vấn đề tương tự trong tương lai.
Thêm vào đó, việc chữa trị các vấn đề nặng nề về răng miệng thường tốn kém hơn so với việc duy trì sức khỏe răng miệng thông qua khám định kỳ. Nếu bạn không thăm khám thường xuyên, bạn có thể sẽ phải đối mặt với những hóa đơn y tế lớn hơn do các vấn đề nghiêm trọng.
Cuối cùng, bác sĩ nha khoa có thể hướng dẫn cho bạn các phương pháp chăm sóc răng miệng tại nhà một cách hiệu quả nhất. Những lời khuyên này có thể bao gồm cách đánh răng đúng cách, chọn bàn chải phù hợp hay sử dụng sản phẩm chăm sóc răng miệng.
Nên đi khám răng định kỳ bao lâu một lần

Việc biết khi nào nên đi khám răng định kỳ là vô cùng quan trọng để duy trì sức khỏe răng miệng tốt nhất. Thời gian giữa các lần khám có thể thay đổi tùy thuộc vào tình trạng sức khỏe già hoặc yếu của mỗi người.
Khuyến nghị chung: 6 tháng/lần, người có nguy cơ cao 3–4 tháng/lần
Theo hầu hết các tổ chức y tế và nha khoa, khuyến nghị phổ biến là bạn nên đi khám răng định kỳ ít nhất 6 tháng một lần. Tuy nhiên, đối với những người có nguy cơ cao mắc các bệnh về răng miệng như người hút thuốc lá, người có tiền sử gia đình mắc bệnh nha chu, hoặc người có bệnh lý toàn thân như tiểu đường, thì việc đi khám răng định kỳ nên diễn ra 3-4 tháng một lần.
Nguyên nhân là do những người này dễ gặp phải các vấn đề về răng miệng hơn, do đó việc khám định kỳ giúp phát hiện và điều trị sớm hơn.
Trẻ em bắt đầu từ khi mọc răng sữa, nên khám sớm để phát hiện lệch lạc hoặc sâu răng
Trẻ em nên bắt đầu khám răng từ khi chiếc răng sữa đầu tiên mọc lên, thường là khoảng 6 tháng tuổi. Việc khám răng định kỳ cho trẻ nhỏ giúp phụ huynh phát hiện sớm các vấn đề như lệch lạc răng, sâu răng hoặc các vấn đề khác liên quan đến sự phát triển răng miệng.
Ngoài ra, khám răng định kỳ cũng là cơ hội để giáo dục trẻ về vệ sinh răng miệng, giúp trẻ hình thành thói quen tốt ngay từ khi còn nhỏ. Việc duy trì sức khỏe răng miệng từ sớm sẽ giúp trẻ có một nụ cười khỏe mạnh và tự tin trong suốt cuộc đời.
Xem thêm : Nên đi khám răng bao lâu 1 lần? Lịch khám răng định kỳ chuẩn cho mọi độ tuổi
Kết luận

Khám răng định kỳ là một phần quan trọng trong việc duy trì sức khỏe răng miệng. Qua các bước khám tổng quát và làm sạch chuyên nghiệp, chúng ta có thể phát hiện sớm các vấn đề, ngăn ngừa chi phí điều trị cao trong tương lai, và cải thiện thói quen vệ sinh tại nhà. Đừng quên đi khám định kỳ ít nhất 6 tháng một lần để bảo vệ nụ cười của bạn và gia đình!
- Khám răng định kỳ là cách đơn giản nhưng hiệu quả nhất để phòng ngừa các bệnh lý răng miệng và bảo vệ nụ cười lâu dài.
Đừng đợi đến khi có dấu hiệu đau nhức mới đi khám, vì nhiều vấn đề răng miệng không có triệu chứng rõ ràng ở giai đoạn đầu.
Liên hệ ngay với Nha khoa DrGreen để đặt lịch khám răng định kỳ cùng đội ngũ bác sĩ giàu kinh nghiệm.
Hotline: 0936.996.609
Fanpage: https://www.facebook.com/nhakhoadrgreen
Website: nhakhoadrgreen.vn
Hệ thống Nha khoa Dr Green:
- 40B Lạch Tray, Ngô Quyền, Hải Phòng
- HDS11 Vinhomes Marina, Lê Chân, Hải Phòng
- 38 Tân Dương, Thủy Nguyên, Hải Phòng
- 43 Trần Phú, Cẩm Phả, Quảng Ninh