Trám răng thưa là phương pháp phục hình răng thẩm mỹ nhanh chóng và hiệu quả. Đặc biệt, điều trị bằng phương pháp này không xâm lấn nên, phù hợp với hầu hết mọi người. Vậy khi nào cần thực hiện trám răng, răng cửa thưa có trám được không? Nếu bạn đang gặp vấn đề tương tự và cần tham khảo thêm thông tin, hãy theo dõi hết bài viết dưới đây của Nha khoa Dr Green.
Trám răng thưa là gì? Răng cửa thưa có trám được không?
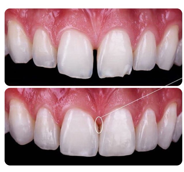
Tìm hiểu về trám răng thưa
Trám răng thưa là phương pháp hữu hiệu cho những ai có mối quan tâm về răng miệng, gặp phải một số tình trạng như:
- Răng bị ố vàng
- Khoảng trống giữa các răng thưa
- Xuất hiện vết nứt trên răng
- Răng bị mài mòn
- Răng mọc lệch hoặc mọc khấp khểnh
- …
Trám răng không xâm lấn nên phù hợp với hầu hết mọi người, có thể cải thiện nụ cười trong khoảng thời gian điều trị khá ngắn. Thông thường, điều trị khoảng 30 – 60 phút cho mỗi răng.

Có trám răng cho răng cửa thưa được hay không?
Có nên trám răng cửa thưa? Trám răng thưa hoàn toàn có thể thực hiện, giúp đóng khe hở giữa hai răng, những chiếc răng khít nhau cải thiện thẩm mỹ và khả năng nhai.
Tuy nhiên, trám răng thưa chỉ được áp dụng cho các trường hợp kẽ hở không quá 2mm. Nếu khoảng cách răng quá lớn, khi trám răng sẽ trở nên quá to, làm mất thẩm mỹ. Điều này cũng giảm độ bền chắc của trám răng, chịu lực kém, dễ bong hoặc rơi trám.
Bởi vậy, để biết được răng cửa thưa có trám được không, bạn cần thăm khám tại các cơ sở nha khoa uy tín để được tư vấn và điều trị phù hợp.
Giá dịch vụ trám răng và các yếu tố quyết định tới giá trám răng
Giá trám răng không quá cao, tuy nhiên có sự chênh lệch do nhiều yếu tố khác nhau. Trong đó, 2 yếu tố chính đó là vật liệu trám và tình trạng răng của bệnh nhân.
Vật liệu trám răng
Hiện nay, có các vật liệu trám răng chuyên dụng khác nhau như: Composite, Amalgam, Silicat, vàng… Mỗi loại có ưu điểm riêng và chi phí khác nhau.
Trong đó, các chất liệu như Amalgam, Silicat, vàng có chi phí thấp hơn, nhưng thẩm mỹ và độ an toàn không được đánh giá cao. Cơ địa nhạy cảm dễ gây kích ứng, màu sắc của những loại này cũng có sự khác biệt với răng thật. “Răng cửa thưa có trám được không?” thì không thật sự phù hợp.
Để trám răng an toàn và hiệu quả, nha sĩ khuyên dùng chất liệu trám Composite. Loại này giá cả phải chăng, màu sắc tương đồng răng thật, không gây kích ứng, phù hợp sử dụng với nhiều đối tượng.

Tình trạng răng
Trám răng đơn giản thì chi phí sẽ thấp, nhưng nếu trường hợp răng bị tổn thương hoặc mắc bệnh lý thì chi phí điều trị cao hơn. Ví dụ như răng bị viêm nướu hoặc tổn thương vào tủy thì cần điều trị răng trước rồi mới trám.
Nếu bạn chỉ trám phần răng cửa thưa thì phát sinh không đáng kể, do răng khỏe mạnh, chỉ cần trám làm đầy khoảng cách giữa các răng.
Các phương pháp và quy trình thực hiện trám răng an toàn và hiệu quả
Trám răng được thực hiện theo hai phương pháp: trám răng trực tiếp và trám răng gián tiếp. Cụ thể mỗi phương pháp này như sau:
Trám răng trực tiếp
Để thực hiện trám răng trực tiếp, nha sĩ sẽ đưa trực tiếp chất liệu trám lên vùng răng cần hồi phục và tạo dáng thẩm mỹ. Thời gian thực hiện từ 30 – 60 phút. Quy trình được tiến hànhnhư sau:
- Bước 1/ Gây tê: Tùy theo mỗi trường hợp, nha sĩ có thể thực hiện gây tê cục bộ để làm tê vùng răng cần trám, giúp người điều trị thoải mái nhất khi thực hiện.
- Bước 2: Nha sĩ thực hiện phủ một lớp dung dịch dưỡng lên bề mặt răng được đánh nhám để chất liệu dễ dàng kết dính với răng.
- Bước 3: Sử dụng vật liệu trám lấp đầy khu vực răng cần trám, thực hiện từng lớp mỏng đến khi răng được phục hồi ưng ý nhất.
- Bước 4: Miếng trám được đánh bóng để kết thúc quá trình trám răng.

Trám răng gián tiếp
Kỹ thuật này phức tạp hơn phương pháp trám răng trực tiếp nhưng sẽ duy trì được lâu hơn, độ bền cao. Tuy nhiên, do miếng trám gắn bên ngoài theo dấu răng nên cũng mất nhiều thời gian để thực hiện, chi phí cao. Quy trình thực hiện sẽ mất khoảng 2 ngày, được tiến hành như sau:
- Bước 1: Kiểm tra vùng răng cần trám, xác định kích thước và đưa ra khuyến nghị về một số loại chất liệu trám phù hợp.
- Bước 2: Thực hiện loại bỏ các mảng bám trên răng, cao răng, các vùng răng bị sâu (nếu có).
- Bước 3: Lấy dấu răng để tạo hình miếng trám theo đúng kích thước của răng.
- Bước 4: Cố định miếng trám vào răng bằng loại xi măng chuyên dụng cho nha khoa.

Xem thêm: Hàn trám răng là gì? Khi nào cần hàn răng thưa bằng Composite
Trên đây là những chia sẻ của Nha khoa Dr Green về phương pháp trám răng. Giải đáp thắc mắc “răng cửa thưa có trám được không?” Để điều trị phù hợp với tình trạng răng bạn cần đến trực tiếp các cơ sở nha khoa để được tư vấn và thăm khám. Nha khoa Dr Green luôn đồng hành cùng bạn, lấy lại nụ cười tự tin, liên hệ ngay với chúng tôi theo thông tin dưới đây để được thăm khám và điều trị sớm nhất.
Hotline: 0936.996.609
Fanpage: https://www.facebook.com/nhakhoadrgreen
Website: nhakhoadrgreen.vn
Hệ thống Nha khoa Dr Green:
- 40B Lạch Tray, Ngô Quyền, Hải Phòng
- HDS11 Vinhomes Marina, Lê Chân, Hải Phòng
- 38 Tân Dương, Thủy Nguyên, Hải Phòng
- 43 Trần Phú, Cẩm Phả, Quảng Ninh












