5/5 - (502 bình chọn)

Thông thường, nhiều bà bầu khi mang thai thường ít để ý đến chăm sóc răng miệng. Tuy nhiên, điều này có thể khiến cho những bà bầu mắc hiện tượng viêm lợi phì đại. Nếu không điều trị kịp thời, nó có thể ảnh hưởng đến sức khỏe lẫn thai kỳ sau này. Chính vì thế việc nắm rõ về viêm lợi phì đại rất quan trọng để bảo vệ sức khỏe. Trong bài viết này, Nha khoa DrGreen xin chia sẻ chi tiết những điều cần biết về hiện tượng viêm lợi phì đại khi mang thai. Cùng với đó là cách phòng ngừa hiệu quả

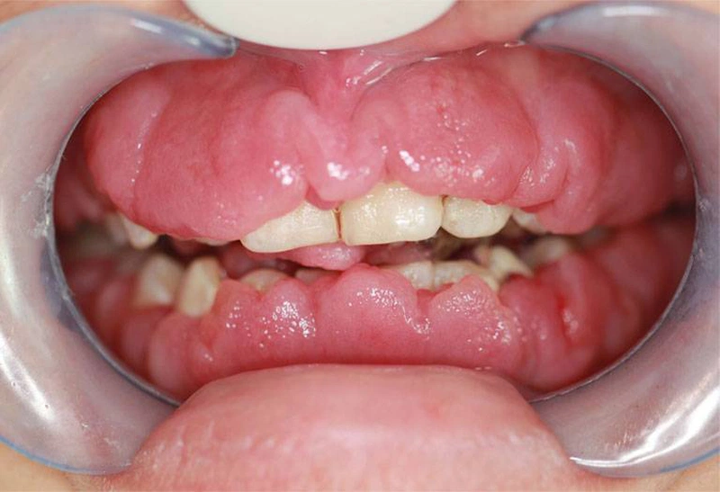
Viêm lợi phì đại khi mang thai là gì?

Viêm lợi là một tình trạng nha khoa phổ biến mà bất kỳ ai cũng có thể gặp phải. Tuy nhiên, trong giai đoạn mang thai, cơ thể phụ nữ trải qua nhiều biến đổi sinh lý. Trong đó phổ biển đặc biệt là sự thay đổi nội tiết tố. Từ đó khiến họ có nguy cơ mắc bệnh cao hơn so với bình thường. Thậm chí khiến họ có thể mắc ngay bệnh viêm lợi phì đại khi mang thai

Nguyên nhân chủ yếu của tình trạng lợi phì đại ở phụ nữ mang thai là do sự gia tăng đột ngột của các hormone sinh dục. Trong đó đặc biệt là các hormone quan trọng ở phụ nữ như estrogen và progesterone. Những hormone này làm tăng tính thẩm thấu của các mao mạch trong mô lợi. Từ đó khiến nướu trở nên nhạy cảm, dễ sưng viêm và dễ chảy máu khi có tác động nhẹ.

Bên cạnh đó, khi mang thai cũng sẽ xảy ra sự thay đổi nội tiết tố trong thai kỳ. Điều này cũng làm suy giảm khả năng đáp ứng miễn dịch của cơ thể. Đặc biệt là ảnh hưởng đối với vi khuẩn có hại trong khoang miệng. Điều này tạo điều kiện thuận lợi cho mảng bám vi khuẩn phát triển và tấn công mô nướu. Từ đó làm trầm trọng thêm tình trạng viêm lợi nếu không kịp thời và đúng cách.

Viêm lợi phì đại khi mang thai là gì?

Ảnh hưởng của viêm lợi phì đại khi mang thai tới thai nhi

Trong quá trình mang thai, tình trạng sưng nướu hoặc nướu có dấu hiệu đỏ nhẹ là hiện tượng khá phổ biến. Nó thường không gây ảnh hưởng trực tiếp đến sức khỏe của thai nhi. Những biểu hiện mức độ nhẹ này không phải là nguyên nhân gây sảy thai hay sinh non. Tuy nhiên, một số trường hợp viêm lợi không được phát hiện và điều trị kịp thời. Khi đó viêm nướu có thể tiến triển thành viêm lợi phì đại. Đây là một bệnh lý nghiêm trọng hơn liên quan đến mô nâng đỡ răng.

Viêm lợi phì đại khi mang thai không chỉ ảnh hưởng đến sức khỏecủa thai phụ. Nó còn có thể liên quan đến các biến chứng sản khoa. Ví dụ như sinh non hoặc trẻ sinh ra có cân nặng thấp. Bệnh này gây phá hủy các mô nâng đỡ quanh răng. Trong đó bao gồm nướu, dây chằng nha chu và xương ổ răng. Khi mô nướu không còn bám chắc vào chân răng, tình trạng tụt nướu sẽ xảy ra. Từ đó làm lộ phần chân răng, cùng với đó là gây mất thẩm mỹ. Thậm chí dẫn đến lung lay hoặc mất răng nếu không can thiệp kịp thời.

Ảnh hưởng của viêm lợi phì đại khi mang thai tới thai nhi

Nguyên nhân gây ra viêm lợi phì đại khi mang thai

Theo thống kê từ các nghiên cứu nha khoa, có đến khoảng 30% phụ nữ mang thai gặp phải tình trạng viêm lợi phì đại khi mang thai. Tỷ lệ này đặc biệt tăng cao trong 3 tháng đầu và 3 tháng cuối. Đây là hai giai đoạn cơ thể người mẹ có nhiều biến đổi sinh lý rõ rệt. Từ đó làm tăng nguy cơ phát sinh các bệnh lý răng miệng.

Cụ thể những nguyên nhân gây ra viêm lợi phì đại như sau:

  • Trong thời kỳ mang thai, nồng độ hormone estrogen và progesterone tăng cao đột biến. Sự biến động này làm gia tăng lưu lượng máu đến nướu, khiến mô nướu  mỏng manh, nhạy cảm. Vì thế dễ phản ứng viêm với sự hiện diện của vi khuẩn mảng bám.
  • Phụ nữ mang thai thường có xu hướng ăn nhiều thực phẩm ngọt, chua. Hoặc ăn thành nhiều bữa nhỏ trong ngày. Những loại thực phẩm này dễ bám dính vào răng, tạo môi trường lý tưởng cho vi khuẩn sinh sôi.
  • Một số mẹ bầu do ốm nghén, buồn nôn hoặc mệt mỏi. Vì thế họ bỏ qua hoặc lơ là việc đánh răng, súc miệng thường xuyên. Đây là yếu tố khiến vi khuẩn dễ dàng tích tụ lâu ngày và phát triển mạnh.
  • Tình trạng nôn mửa kéo dài cũng khiến axit từ dạ dày trào ngược lên miệng. Từ đó làm mòn men răng, kích ứng nướu và làm trầm trọng thêm tình trạng viêm.
  • Nhu cầu về canxi, vitamin D, vitamin C và các khoáng chất thiết yếu khác tăng cao. Nếu không được bổ sung đầy đủ, cơ thể người mẹ dễ bị thiếu hụt. Từ đó làm suy yếu mô liên kết và cấu trúc nâng đỡ răng. Đồng thời tăng nguy cơ mắc các bệnh lý về nướu.

Nguyên nhân gây ra viêm lợi phì đại khi mang thai

Cách điều trị viêm lợi phì đại khi mang thai hiệu quả

Súc miệng bằng nước muối sinh lý

Theo nhiều nghiên cứu, muối có đặc tính sát khuẩn và kháng viêm tự nhiên. Từ đó giúp làm dịu mô nướu kích ứng và giảm tình trạng viêm lợi phì đại khi mang thai. Sau khi chải răng sạch sẽ, mẹ bầu nên súc miệng với dung dịch nước muối sinh lý. Tại đây bạn sẽ cần thực hiện súc miệng trong khoảng 30 giây. Sau đó súc miệng lại bằng nước sạch để loại bỏ lượng muối dư trong khoang miệng. Nên thực hiện 2–3 lần mỗi ngày để đạt hiệu quả tối ưu.

Sử dụng mật ong nguyên chất

Mật ong được biết đến với đặc tính kháng khuẩn và chống viêm tự nhiên. Từ đó giúp hỗ trợ làm lành các tổn thương niêm mạc. Đồng thời làm dịu vùng nướu bị viêm lợi phì đại khi mang thai. Sau khi vệ sinh răng miệng, mẹ bầu có thể thoa một lượng nhỏ mật ong nguyên chất. Tại đây mẹ bầu sẽ nhỏ nhẹ nhàng mật ong trực tiếp lên vùng nướu bị viêm. Giữ nguyên trong khoảng 5–10 phút rồi súc miệng lại bằng nước ấm. Nên áp dụng phương pháp này từ 2–3 lần mỗi ngày. Thực hiện cho đến khi tình trạng sưng nướu được cải thiện rõ rệt.

Sử dụng mật ong nguyên chất

Dùng gel nha đam (lô hội)

Nha đam chứa các hoạt chất có khả năng kháng khuẩn, chống viêm và làm dịu mô nướu. Để sử dụng, hãy cắt lá nha đam tươi, rửa sạch. Sau đó tách lấy phần gel trong suốt và thoa trực tiếp lên khu vực bị viêm. Sau khoảng 5–7 phút, súc miệng lại bằng nước sạch. Việc sử dụng nha đam 2–3 lần mỗi ngày rất có ích. Nó có thể giúp cải thiện viêm lợi phì đại khi mang thai một cách tự nhiên và an toàn.

Dùng gel nha đam (lô hội)

Cạo vôi răng định kỳ tại nha khoa

Vôi răng (cao răng) và mảng bám là những yếu tố hàng đầu gây ra viêm nướu và sưng nướu răng. Việc loại bỏ cao răng định kỳ không chỉ giúp làm sạch khoang miệng. Nó còn ngăn ngừa các biến chứng nghiêm trọng như viêm lợi phì đại. Tại Nha khoa DrGreen, quy trình cạo vôi răng được thực hiện bằng công nghệ sóng siêu âm hiện đại. Từ đó giúp loại bỏ hơn 95% cao răng và mảng bám một cách nhẹ nhàng, an toàn. Đồng thời không gây ảnh hưởng đến men răng hay mô nướu. Đặc biệt phù hợp cho phụ nữ mang thai.

Cạo vôi răng định kỳ tại nha khoa

Sử dụng thuốc theo chỉ định

Một số trường hợp viêm lợi phì đại khi mang thai nghiêm trọng kèm theo hiện tượng tụt nướu hoặc tổn thương mô lợi sâu. Khi đó bác sĩ chuyên khoa sẽ xem xét kê đơn thuốc. Đơn thuốc sẽ chứa các thành phần kháng sinh và kháng viêm chuyên biệt. Những loại thuốc này được điều chế dành riêng cho phụ nữ mang thai. Từ đó đảm bảo an toàn tuyệt đối cho cả mẹ và thai nhi. Tất cả đảm bảo mẹ bầu sẽsử dụng đúng liều lượng và theo chỉ định. Việc sử dụng thuốc cần được theo dõi bởi bác sĩ. Thông qua đó đảm bảo hiệu quả điều trị và tránh các tác dụng không mong muốn.

Sử dụng thuốc theo chỉ định

Những cách phòng ngừa viêm lợi phì đại khi mang thai

Vệ sinh răng miệng đúng cách và đều đặn

  • Đánh răng ít nhất 2 lần/ngày. Thực hiện vào buổi sáng sau khi thức dậy và buổi tối trước khi đi ngủ. Nên đánh răng sau bữa ăn khoảng 30 phút để bảo vệ men răng.
  • Lựa chọn bàn chải có lông mềm, đầu bàn chải nhỏ. Thông qua đó tránh gây tổn thương cho nướu nhạy cảm.
  • Ưu tiên sử dụng kem đánh răng chứa fluoride. Từ đó tăng cường khả năng kháng khuẩn, chống sâu răng và bảo vệ men răng.
  • Sử dụng chỉ nha khoa hàng ngày nhằm loại bỏ thức ăn và mảng bám ở các kẽ răng. Đây là những khu vực bàn chải khó tiếp cận.

Vệ sinh răng miệng đúng cách và đều đặn

Duy trì ăn uống khoa học, hỗ trợ sức khỏe răng lợi

Trong thai kỳ, đặc biệt là giai đoạn đầu có ốm nghén, mẹ bầu nên cố gắng duy trì chế độ ăn giàu dưỡng chất và lành mạnh. Ưu tiên nước lọc hoặc sữa tươi không đường thay vì các loại đồ uống công nghiệp. Thông qua đó tránh nguy cơ axit hóa và tổn thương men răng.

Trong đó mẹ bầu nên tăng cường và hạn chế thực phẩm sau

Nên tăng cường:

  • Rau xanh, trái cây tươi giàu vitamin C, A, D
  • Ngũ cốc nguyên cám
  • Sữa chua và thực phẩm giàu acid lactic (giúp hỗ trợ cân bằng hệ vi sinh trong khoang miệng)

Hạn chế tối đa:

  • Thực phẩm chứa nhiều đường và tinh bột như kẹo, bánh ngọt, bánh quy, trái cây sấy khô
  • Đồ uống có đường, nước ngọt có gas, nước trái cây đóng chai

Súc miệng bằng nước muối – Giải pháp tự nhiên, an toàn

  • Thói quen súc miệng bằng nước muối ấm giúp giảm viêm. Đồng thời hỗ trợ sát khuẩn và làm dịu viêm lợi phì đại khi mang thai
  • Cách pha nước muối đúng cách vô cùng đơn giản. Hòa tan 1 thìa cà phê muối trong 1 cốc nước ấm. Sau đó súc miệng nhẹ nhàng trong vòng 30 giây – 1 phút, sau đó nhổ bỏ.
  • Thực hiện 2–3 lần mỗi ngày để hỗ trợ quá trình làm lành nướu. Cùng với đó là giảm mùi hôi miệng do viêm lợi.

Súc miệng bằng nước muối – Giải pháp tự nhiên, an toàn

Khám nha khoa định kỳ

Phụ nữ mang thai nên duy trì khám nha khoa ít nhất 2 lần/năm. Trong đó nên thực hiện đi khám kể cả trong thời gian thai kỳ. Ngoại trừ khi có chống chỉ định đặc biệt từ bác sĩ sản khoa.

Việc kiểm tra định kỳ giúp:

  • Phát hiện sớm các dấu hiệu viêm nướu, sâu răng, cao răng hoặc tổn thương mô mềm
  • Điều trị kịp thời, tránh biến chứng ảnh hưởng đến sức khỏe mẹ và thai nhi
  • Tư vấn các giải pháp an toàn trong điều kiện sinh lý đặc biệt của thai kỳ

Xem thêm:

Trên đây là những điều cần biết về hiện tượng viêm lợi phì đại khi mang thai. Cùng với đó là cách điều trị hiệu quả và cách phòng ngừa biến chứng an toàn. Để được tư vấn cụ thể, hãy liên hệ Nha khoa DrGreen theo thông tin bên dưới

Hotline: 0936.996.609

Fanpage: https://www.facebook.com/nhakhoadrgreen

Website: nhakhoadrgreen.vn

Hệ thống Nha khoa Dr Green:

  1. 40B Lạch Tray, Ngô Quyền, Hải Phòng
  2. HDS11 Vinhomes Marina, Lê Chân, Hải Phòng
  3. 38 Tân Dương, Thủy Nguyên, Hải Phòng
  4. 43 Trần Phú, Cẩm Phả, Quảng Ninh